Dr. Jorge Arturo Cuevas

Dentista - Odontólogo · Ver más

No. de cédula: 7408234

460 opiniones
Tiempo de respuesta aproximado:

Experiencia

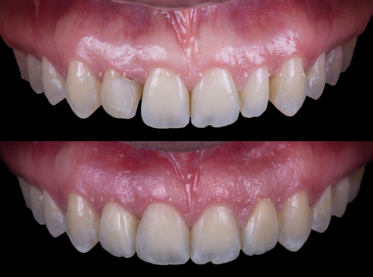
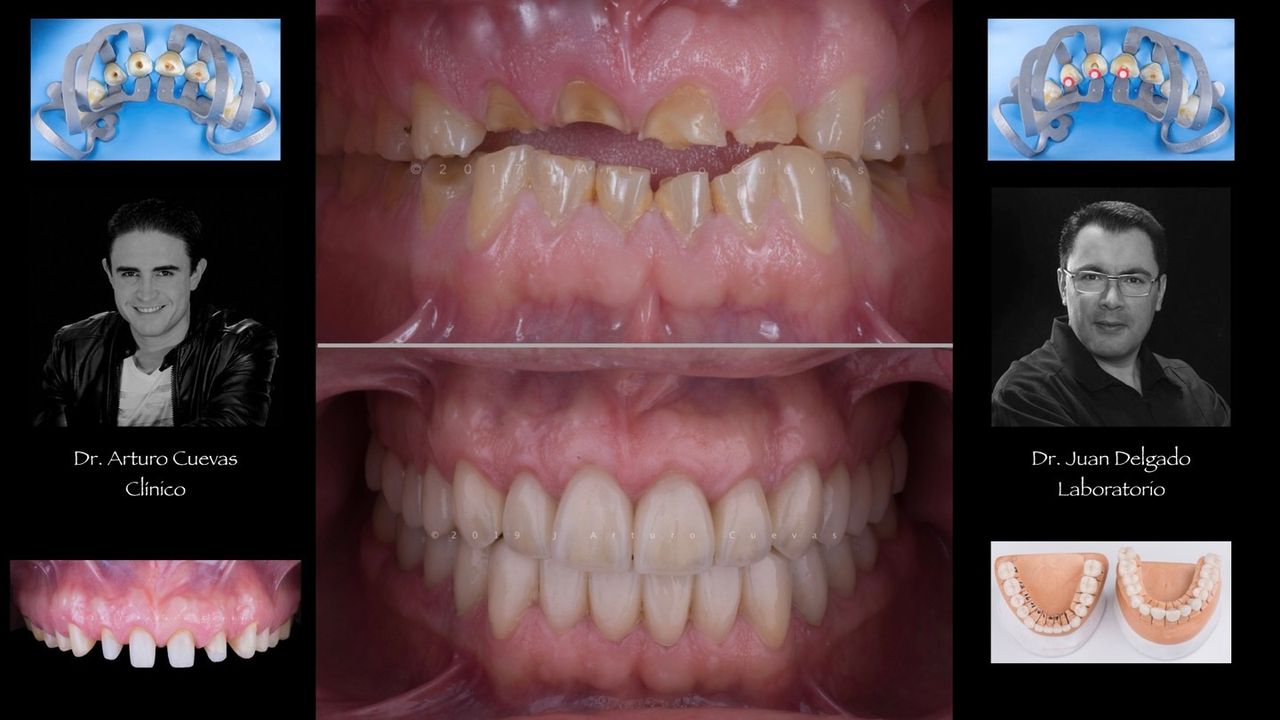
Odontología mínimamente invasiva como herramienta en el diseño de sonrisa para generar resultados estéticos de alta exigencia.
Personalizando sonrisas para cada rostro por medio de un análisis estético profundo siempre tomando en cuenta las proporciones aureas para obtener resultados armoniosos.
Todo parte de una buena planeación para ofrecer al paciente una sonrisa óptima y natural empleando carillas de porcelana e implantes dentales; cuando hay ausencia de algún diente. Un buen diagnóstico es uno de los eslabones de un gran resultado.
Egresado de la UAG, universidad destacada y prestigiosa en odontología.
ver más Sobre mí

Enfocado en:

  • Ortodoncia
  • Endodoncia
  • Rehabilitación bucal
  • Implantología dental

Pacientes que atiendo

Adultos
Niños

Tipos de consulta

Fotos y videos

Servicios y precios

  • Valoración de ortodoncia

    $800

  • Periodoncia

    $800

  • Cirugía mucogingival

    Desde $2,800

  • Cirugía tercer molar

    Desde $2,800

  • Colocación de brackets

    Desde $1,000

Consultorios (6)

Ampliar se abre en una nueva pestaña
iDental Colima

Calle Venustiano Carranza 770, Lomas Vista Hermosa, Colima 28016

Disponibilidad

Número de teléfono

312 159...
Ampliar se abre en una nueva pestaña
Ampliar se abre en una nueva pestaña
iDental Manzanillo

Avenida Lázaro Cárdenas 1526-L4, Las Brisas, Manzanillo 28217

Disponibilidad

Número de teléfono

314 137...
Ampliar se abre en una nueva pestaña
Ampliar se abre en una nueva pestaña
Dentistree Ajijic

Libramiento Chapala Ajijic 132 Interlago Local 4, 45907 Ajijic, Jal., Ajijic 45907

Disponibilidad

Número de teléfono

376 688...
33 3397...
Ampliar se abre en una nueva pestaña
Ampliar se abre en una nueva pestaña
iDental Colima (Cd. Guzman)

Venustiano carranza 770, Lomas De Solidaridad , Ciudad Guzmán 49000

Disponibilidad

Este especialista no ofrece reserva online en esta dirección

Número de teléfono

312 159...
Ampliar se abre en una nueva pestaña
Ampliar se abre en una nueva pestaña
iDental Manzanillo (Cihuatlan)

Avenida Lázaro Cárdenas 1526-L4, Centro , Cihuatlan 48970

Disponibilidad

Este especialista no ofrece reserva online en esta dirección

Número de teléfono

314 137...
Ampliar se abre en una nueva pestaña
Ampliar se abre en una nueva pestaña
iDental Colima (Tecoman)

Venustiano carranza 770, Tecoman 28100

Disponibilidad

Este especialista no ofrece reserva online en esta dirección

Número de teléfono

312 159...
Ampliar se abre en una nueva pestaña

No se aceptan aseguradoras

Este especialista sólo acepta pacientes privados. Puede pagar directamente la cita para reservar, o encontrar otro especialista que acepte su aseguradora.

460 opiniones

Todas las opiniones son importantes, por este motivo, los especialistas no pueden pagar para modificar o eliminar opiniones. Saber más. Más información sobre opiniones
  • A

    Encontré a Jorge por casualidad mientras buscaba tratamiento de emergencia y vaya que buen servicio. Te explica todo, te enseña paso a paso que hará y mi mamá quedó muy contenta y yo también. Servicios como los que Jorge ofrece son invaluables y estoy totalmente agradecida.

     • iDental Colima Visitas sucesivas Odontología  • 

    Dr. Jorge Arturo Cuevas

    Un gusto recibir a tu familia! Los veo pronto!


  • C

    Le agradezco al Dr Arturo por los tratamientos realizados en mi caso; me realizó implantes dentales, injerto de hueso y actualmente estoy en tratamiento de ortodoncia. Su atención ha sido muy personalizada y puntual. Recomiendo enormemente!

     • iDental Colima Visitas sucesivas Odontología  • 

    Dr. Jorge Arturo Cuevas

    Un placer Chris, gracias por tu confianza!!


  • R

    Una atención muy buena. Nos informó el procedimiento que se haria a mi papá. Y nos fuimos contentos por todo. Mi papá se sintió mejor. Gracias Dr.

     • iDental Colima Dolor de muela  • 

  • M

    Una excelente atención desde la llegada del médico nos habla profesionalmente sobre qué es lo que se va a hacer que tenemos que hacer nosotros como ayudantes, en caso del paciente ya mayor de 80 años,lo calma muy bien lo lleva con excelente calidad sabe hacer su trabajo el médico, excelente !!!

     • iDental Colima Dolor de muela  • 

  • A

    Vine a consultar por primera vez sobre una alineación dental (ortodoncia), además de mi problema con las muelas del juicio No sólo se me aclaró sobre el proceso, sino se me informó sobre mi situación, ya que tengo más por tratar en mi higiene bucal Información detallada y por supuesto con profesionales que saben sobre lo que están trabajando: tu salud

     • iDental Colima Primera visita Odontología  • 

  • J

    Buena atención y todos los problemas se explicaron a detalle

     • iDental Colima Visita Odontología  • 

  • A

    EXCELENTE SERVICE ATTENDED ME PERFECT HAD PAIN FOR 2 DAYS COULDN'T SLEEP NOW I CAN REST . 5 STAR SERVICE WON'T REGRET IT WORTH EVERY Single Dollar

     • iDental Manzanillo Cirugía de muela del juicio  • 

  • J

    Muy amable, aclara todas las dudas muy bien, siempre se dirige con respeto

     • iDental Colima Primera visita Odontología  • 

  • K

    Acudi a consulta por una fractura de una muela del juicio, que ya tenia el nervio expuesto y me comenzó a causar molestia desde hace 2 dias y se realizo el procedimiento de radiografías digitales y cirugía el mismo dia de la consulta. Al final de cuentas se aprovecho el procedimiento para la extraccion de las 4 muelas del juicio. Sin molestias anormales. Un excelente trato desde la llegada al consultorio. Super recomendado de mi parte.

     • iDental Colima Extracción de Terceras Molares complicadas ( Implantología Avanzada Digital)  • 

  • B

    Recomiendo ampliamente. Me realizó cirugía de cuatro terceros molares en la primer cita a la que acudí. Cero hinchazón, sin dolor y sorprendida con la rapidez con la que se realizaron los procedimientos y la normalidad con la que pude realizar mis actividades al día siguiente. A la semana ya había iniciado con mi tratamiento de ortodoncia. Al momento estoy encantada con los resultados. 10 de 10

     • iDental Manzanillo Extracción de Terceras Molares complicadas ( Implantología Avanzada Digital)  • 

Se ha producido un error, inténtalo de nuevo.