Dr. Jonathan García

Dentista - Odontólogo ver más

Sólo acepta pacientes privados

No. de cédula: 8661317

21 opiniones
Tiempo de respuesta aproximado:
Logo
Dr. Jonathan García

C. 22 entre 9 y 7, San Antonio Cinta, 97139 Mérida, Yuc., Mérida 97139

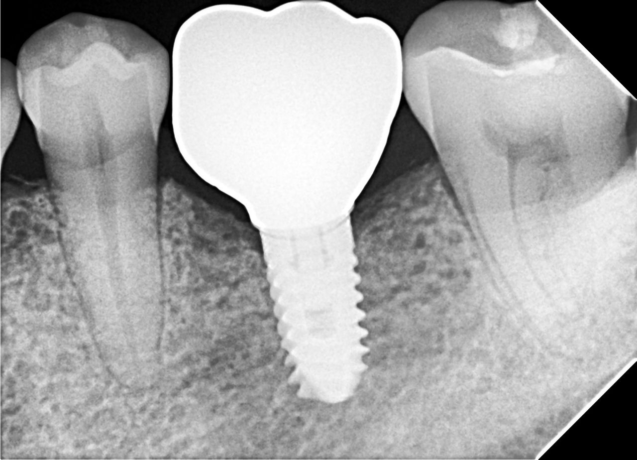
Colocación de implantes con tecnología avanzada

En el consultorio seguimos apostando por tratamientos modernos, cómodos y precisos para nuestros pacientes.

Hoy realizamos la colocación de dos implantes dentales, un procedimiento planificado y ejecutado con guía quirúrgica de implantes, lo que nos permite obtener una colocación más exacta, segura y predecible

Para brindar una experiencia aún más cómoda y efectiva, utilizamos:

Óxido nitroso: reduce la ansiedad y el miedo dental, ayudando al paciente a sentirse relajado y tranquilo durante todo el procedimiento.

Luz roja terapéutica: estimula la cicatrización, disminuye la inflamación y acelera el proceso de recuperación postoperatoria.

Combinamos tecnología, precisión y un trato humano, porque tu salud, comodidad y confianza son nuestra prioridad.

18/10/2025

Experiencia

Entiendo que acudir al dentista puede generar ansiedad, por eso en mi consulta priorizo tu tranquilidad en cada paso. Aplico protocolos de anestesia consciente junto con abordajes mínimamente invasivos, reduciendo al máximo cualquier sensación de incomodidad. Quiero que te sientas acompañado y escuchado desde la primera palabra hasta el seguimiento final.

Mi especialidad en cirugía bucal me capacita para realizar extracciones complejas y cirugía de terceros molares con máxima exactitud. A la par, mi trayectoria en implantología dental me ha permitido restaurar sonrisas con implantes de alto estándar, siempre planificados de manera personalizada. Cada procedimiento equilibra función y estética para brindarte resultados duraderos.

Trabajo de la mano con un equipo multidisciplinario de expertos en rehabilitación oral, ortodoncia y endodoncia. Esta colaboración nos permite diseñar planes integrales que abarcan todas tus necesidades dentales en un solo espacio. Así evitamos desplazamientos y optimizamos tu tiempo.

Para mí, más que tratar dientes, se trata de acompañar personas en su transformación y calidad de vida, recuperando su confianza con procedimientos pensados para minimizar al máximo cualquier molestia.

ver más Sobre mí

Enfocado en:

  • Odontología general
  • Odontología preventiva
  • Cirugía oral
  • Implantología dental

No se aceptan aseguradoras

Este especialista sólo acepta pacientes privados. Puede pagar directamente la cita para reservar, o encontrar otro especialista que acepte su aseguradora.

Consultorio

Ampliar se abre en una nueva pestaña
Dr. Jonathan Garcia- S&H Consultorios

C. 22 entre 9 y 7, San Antonio Cinta, 97139 Mérida, Yuc., San Antonio Cinta , Mérida 97139

Disponibilidad

Número de teléfono

999 163...
Ampliar se abre en una nueva pestaña

Servicios y precios

  • Primera visita Odontología

    $800

  • Visita Odontología

    $800

  • Tratamiento de conductos


  • Resinas dentales


  • Reconstrucción dental


21 opiniones

Todas las opiniones son importantes, por este motivo, los especialistas no pueden pagar para modificar o eliminar opiniones. Saber más. Más información sobre opiniones
  • S

    Excelente atención y gran amabilidad de dr Jonathan y su grupo

     • Dr. Jonathan Garcia- S&H Consultorios Implante dental  • 

  • J

    Es un excelente odontólogo y todo su equipo te entienden tus inquietudes y te dan explicaciones detallada

     • Dr. Jonathan Garcia- S&H Consultorios Primera visita Odontología  • 

  • V

    El Doctor es muy profesional, tiene un trato muy gentil.

     • Dr. Jonathan Garcia- S&H Consultorios Visitas sucesivas Odontología  • 

    Dr. Jonathan García

    “¡Muchas gracias por tus palabras! Me alegra saber que te sentiste bien atendido. Siempre me esfuerzo por brindar un trato amable y profesional. Será un gusto recibirte nuevamente.”


  • J

    Excelente servicio y diagnóstico.
    Muy profesional.

     • Dr. Jonathan Garcia- S&H Consultorios Visitas sucesivas Odontología  • 

    Dr. Jonathan García

    “¡Muchas gracias por tu confianza! Me alegra mucho saber que te sentiste bien atendido y que el diagnóstico te dejó tranquilo. Siempre será un gusto cuidarte y acompañarte en tu tratamiento.”


  • M

    Excelente medico, muy buen equipo de trabajo, no es caro, muy contentos todos

     • Dr. Jonathan Garcia- S&H Consultorios Desbridamiento y drenaje de absceso  • 

    Dr. Jonathan García

    “¡Muchas gracias por su confianza! Me alegra muchísimo saber que se sienten bien atendidos y cómodos con nuestro trabajo. Todo el equipo y yo ponemos el corazón en cada visita. Siempre será un gusto recibirlos.”


  • P

    Realmente un D.R. y todo su grupo de colaboradores excelentes no tengo ni una sola queja de ellos
    Estoy contenta con todo lo que se ha trabajado

     • Dr. Jonathan Garcia- S&H Consultorios Coronas estéticas  • 

    Dr. Jonathan García

    “¡Muchísimas gracias por tus palabras! Nos alegra enormemente saber que te has sentido acompañada y satisfecha con todo el trabajo realizado. Tanto el equipo como yo estamos para cuidarte y darte siempre la mejor atención. Es un verdadero gusto atenderte.”


  • D

    Excelente instalación pero lo mejor es el trato de los empleados

     • Dr. Jonathan Garcia- S&H Consultorios Visitas sucesivas Odontología  • 

    Dr. Jonathan García

    “¡Muchas gracias por tu comentario! Nos da mucha alegría saber que te sentiste bien atendido. Cada miembro del equipo trabaja con dedicación para brindarte una experiencia cómoda y humana. Siempre será un placer recibirte.”


  • J

    Excelente atención!! Como siempre muy satisfecho con el servicio y tratamiento. En tiempo y forma y lo mas importante con la solución a cualquier circunstancia.

     • Dr. Jonathan Garcia- S&H Consultorios Resinas dentales  • 

    Dr. Jonathan García

    “¡Muchas gracias por tu confianza! Me da mucho gusto saber que te has sentido bien atendido y que el tratamiento ha cumplido tus expectativas. Siempre será un placer ayudarte y brindarte soluciones en cada visita.”


  • A

    Fueron tan amables, tuvieron mucha paciencia con mis nervios y miedo, la extracción fue super rápida, tardaron más por mi miedo que sacando las muelas, hahaha

     • Dr. Jonathan Garcia- S&H Consultorios Extracción de las muelas del juicio  • 

    Dr. Jonathan García

    ¡Muchas gracias por compartir tu experiencia! Y créeme, tus nervios son completamente normales. Lo importante es que pudimos acompañarte con paciencia para que te sintieras tranquila en todo momento. Me da mucho gusto saber que la extracción te pareció rápida y que saliste con buena sensación. ¡Gracias por tu confianza y por tomártelo con humor! Aquí estamos siempre para cuidarte.


  • A

    Excelente doctor, trato, explicación, todo. Recomendado

     • Dr. Jonathan Garcia- S&H Consultorios Visita Odontología  • 

    Dr. Jonathan García

    ¡Muchas gracias por tu comentario! Me alegra muchísimo saber que te sentiste bien atendido y con una explicación clara en todo momento. Aprecio de corazón tu recomendación y tu confianza. ¡Aquí estoy para lo que necesites!


Se ha producido un error, inténtalo de nuevo.

Dudas solucionadas

1 dudas solucionadas a pacientes en Doctoralia

Duda sobre Resinas dentales

Es normal que me pusieron una resina pero siento que pega con la muela de arriba me duele la mordida

No! lo ideal es acudir a una cita de revisión para que puedan ajustar la resina y no tope con tu mordida.

Dr. Jonathan García

Todos los contenidos publicados en Doctoralia, especialmente preguntas y respuestas, son de carácter informativo y en ningún caso deben considerarse un sustituto de un asesoramiento médico.