Dr. Jesus De La Cruz Ballinas

Dentista - Odontólogo · Ver más

Tuxtla Gutierrez 1 dirección

No. de cédula: 6322005 10796991 12411844 13216976

109 opiniones
Tiempo de respuesta aproximado:

Experiencia

Cirujano Dentista , cédula profesional : 6322005
Especialista en Endodoncia, cédula de especialidad: 10796991
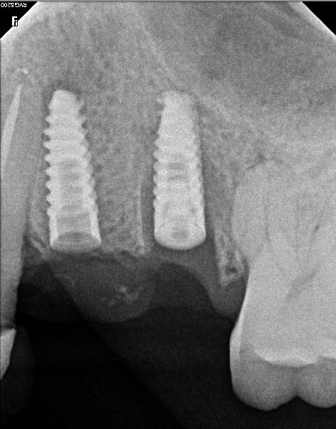
Especialista en Implantología Oral quirúrgica y protesica, cédula de especialidad: 12411844
Especialista en prótesis bucal fija y removible, cédula de especialidad 13216976

La especialidad en Endodoncia esta enfocada en prevenir, diagnosticar y tratar las enfermedades pulpares y perirradiculares de los dientes. Entre los problemas más comunes tratamos dolores dentales, infecciones dentales agudas y crónicas para evitar la extracción dental y preservar la función del órgano dentario.

La especialidad en Implantología Oral se enfoca en sustituir órganos dentarios perdidos por implantes dentales mediante una fase quirúrgica y una fase protesica y de esta manera devolver la función, estetica y confort dental del paciente.

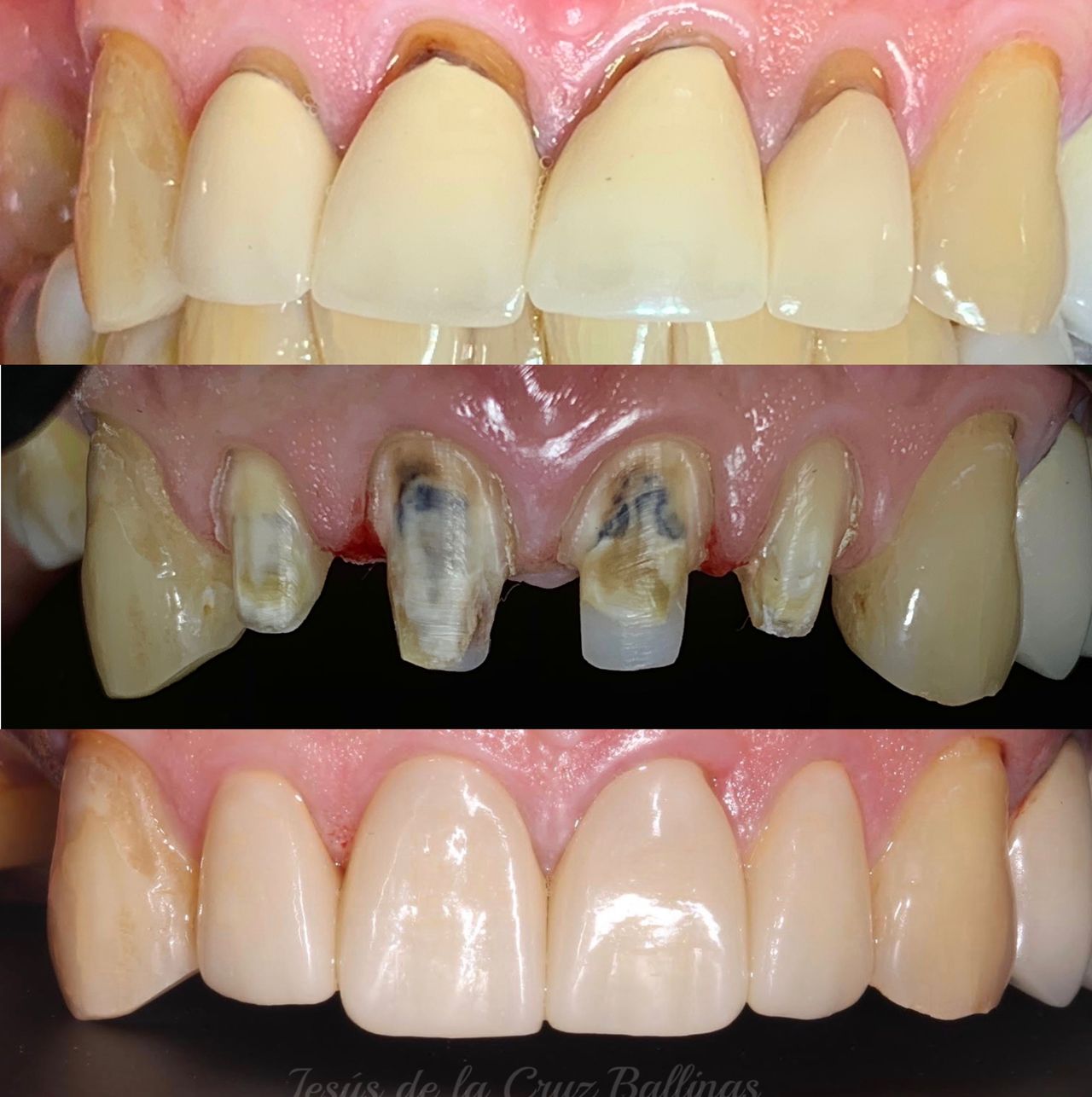
La especialidad en prótesis Bucal se enfoca en rehabilitar mediante prótesis unitarias, múltiples o totales la función masticatoria de nuestros pacientes brindándoles una mejor estética dental, confort, anatomía dental y función.

Contamos con tecnología de punta que nos facilitara el diagnostico y tratamiento de tu problema dental lo cual hará mas predecible el éxito a largo plazo.

La evaluación es integral y multidisciplinaria, teniendo como objetivo una atención humana de calidad, ética, profesionalismo y calidez
ver más Sobre mí

Enfocado en:

  • Endodoncia
  • Rehabilitación bucal
  • Implantología dental
  • Prótesis dental

Pacientes que atiendo

Adultos (Sólo en algunas direcciones)
Niños (Sólo en algunas direcciones)

Tipos de consulta

Videoconsulta

Fotos y videos

No se aceptan aseguradoras

Este especialista sólo acepta pacientes privados. Puede pagar directamente la cita para reservar, o encontrar otro especialista que acepte su aseguradora.

Consultorios (2)

Ampliar se abre en una nueva pestaña
TORRE MEDICA AP MEDICAL CENTER

Boulevard Paseo de Las Fuentes 452 A, Santa Elena , Tuxtla Gutierrez 29060

Disponibilidad

Número de teléfono

961 332...
961 150...
Ampliar se abre en una nueva pestaña

Disponibilidad

Este especialista no ofrece reserva online en esta dirección

Número de teléfono

961 150...
961 332...

Servicios y precios

  • Tratamiento de Endodoncia

    Desde $4,500

  • Recubrimiento directo e indirecto


  • Prótesis híbrida


  • Prótesis parciales removibles


  • Prótesis totales


109 opiniones

Todas las opiniones son importantes, por este motivo, los especialistas no pueden pagar para modificar o eliminar opiniones. Saber más. Más información sobre opiniones
  • R

    Muy buena atención, un ambiente agradable, puntualidad del médico, extraordinaria atención y paciencia

     • TORRE MEDICA AP MEDICAL CENTER Colocación de implantes y otro sería rehabilitación de implantes  • 

  • S

    Excelente doctor, su trabajo es recomendable, Dios lo bendiga

     • TORRE MEDICA AP MEDICAL CENTER Cirugia del tercer molar  • 

  • D

    Exelente servicio muy buena atención exelente calidad

     • TORRE MEDICA AP MEDICAL CENTER Primera visita Odontología  • 

  • G

    Calidad el en tratamiento, eficacia y profesionalismo!

     • TORRE MEDICA AP MEDICAL CENTER Resinas dentales  • 

  • D

    Puntualidad , Profesionalismo, excelente trato
    Muy recomendable

     • TORRE MEDICA AP MEDICAL CENTER Primera visita Odontología  • 

  • S

    Excelente servicio, calidad, tecnología con profesionalismo

     • TORRE MEDICA AP MEDICAL CENTER Primera visita Odontología  • 

  • M

    EXCELENTE SERVICIO UN PROFESIONAL EN SU MATERIA, CONFORME EN SU TRATO AMABLE

     • TORRE MEDICA AP MEDICAL CENTER Endopostes de fibras de vidrio (estéticos)  • 

  • E

    Profesionalismo actualizado en la atención requerida.

     • TORRE MEDICA AP MEDICAL CENTER Primera visita Odontología  • 

  • B

    Excelente explicación, da su analisis del problema y las opciones a seguir,,trato muy amable

     • TORRE MEDICA AP MEDICAL CENTER Primera visita Odontología  • 

  • C

    Para mi es buen doctor me le pudo atender ami hija y ami

     • TORRE MEDICA AP MEDICAL CENTER Primera visita Odontología  • 

Se ha producido un error, inténtalo de nuevo.