Dr. Jafet Olivera

Traumatólogo, Ortopedista ver más

Veracruz Centro 1 dirección

Sólo acepta pacientes privados

No. de cédula: 13969351 9810724

10 opiniones
Tiempo de respuesta aproximado:

Experiencia

Realice mi especialidad en la Unidad Médica de Alta Especialidad Hospital de Traumatología y Ortopedia de Puebla, trabaje en el módulo de columna y cadera en donde atendí enfermedades de columna (hernias discales, fracturas , etc. ) y cadera(prótesis y fracturas ), posteriormente laboramos en módulo de extremidades donde atendimos casos complejos de politrauma y lesiones degenerativas (fracturas , artroscopias y remplazos articulares ). 

Avalado por el Concejo Mexicano de Ortopedia y Traumatología, A.C. Con el registro 21/6874/23. 

Mi proposito es brindarles atención médica especializada, personalizada y ayudar a mejorar su calidad de vida . 

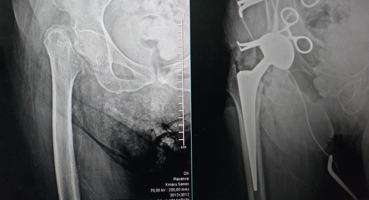
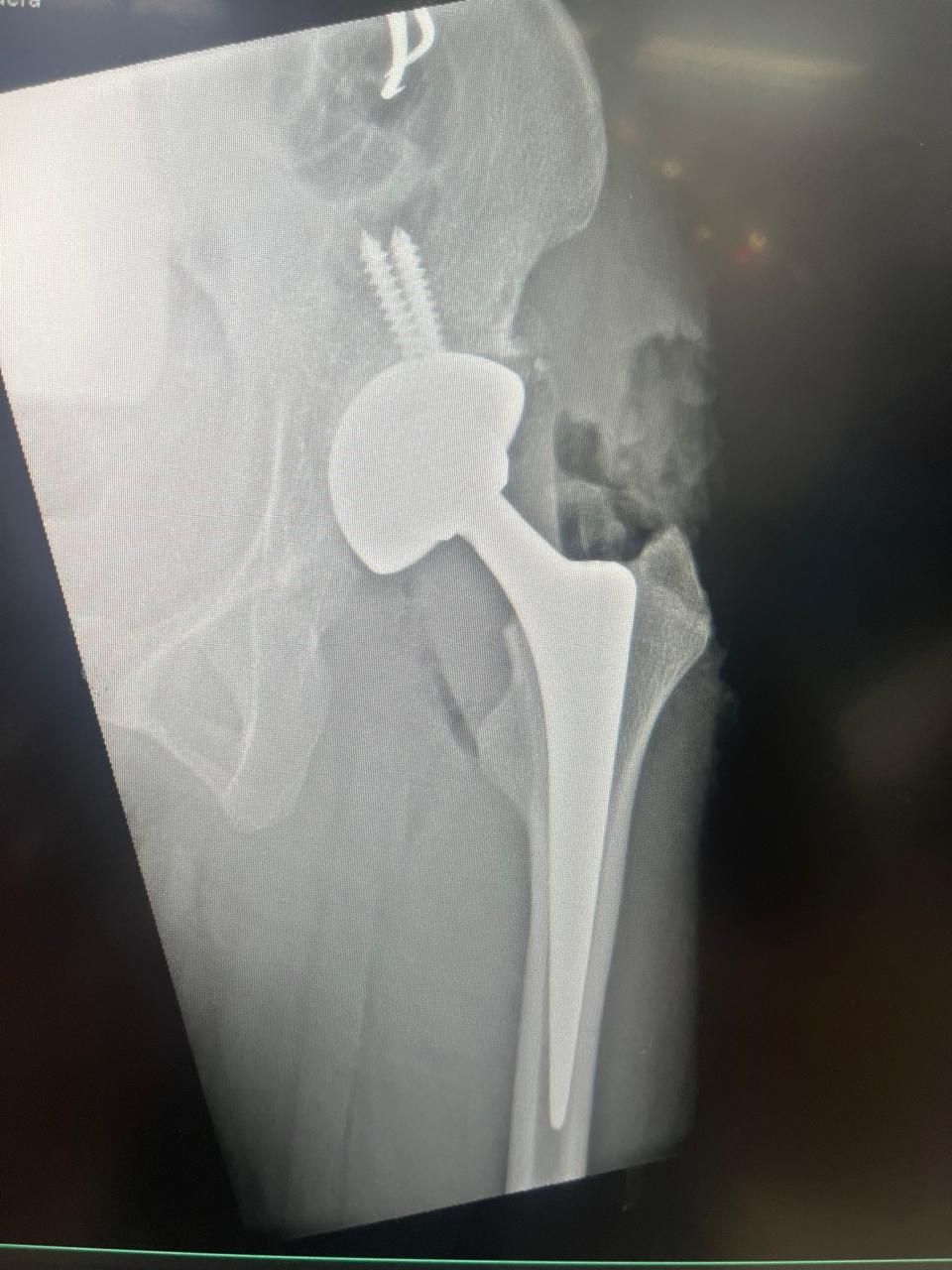
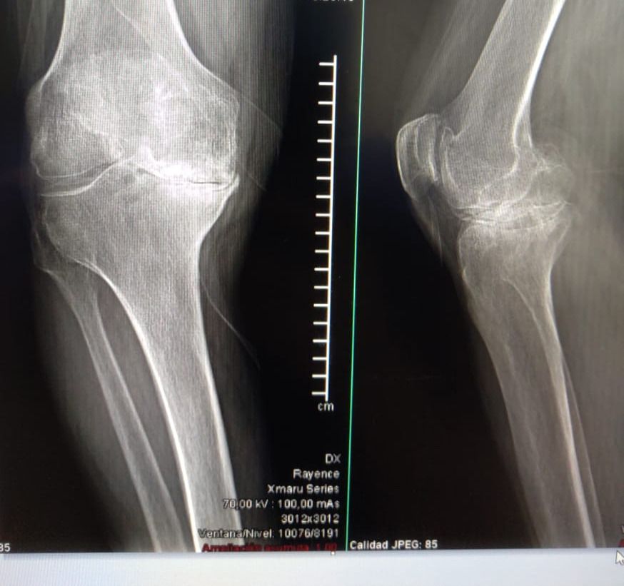
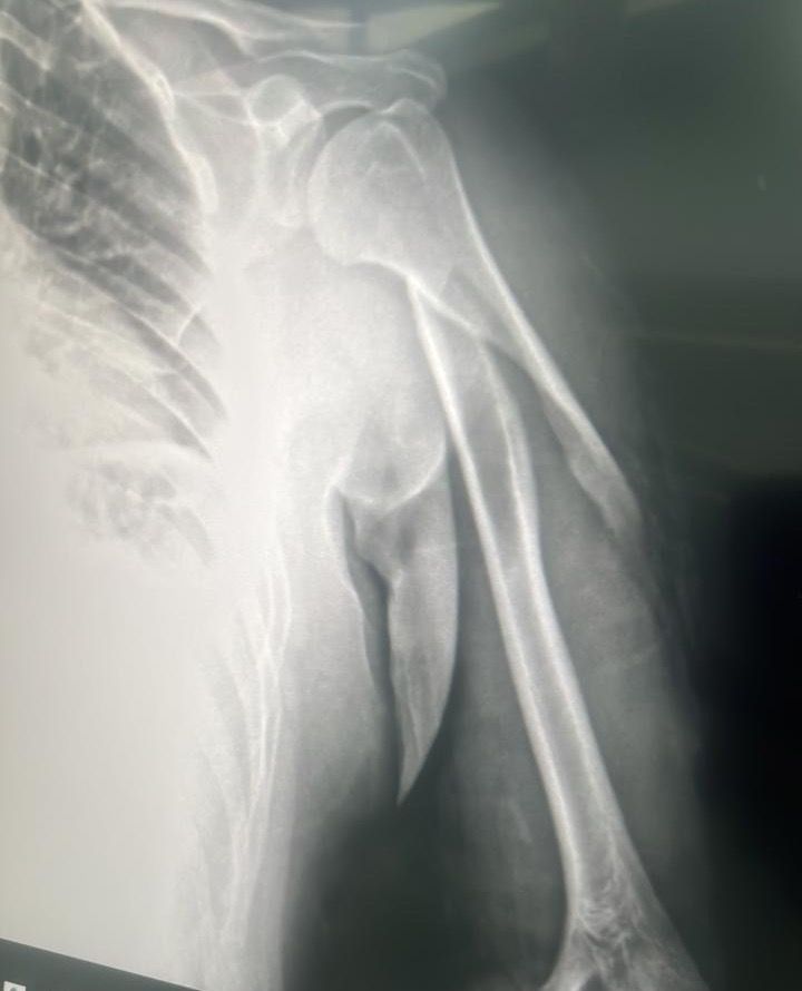
En mi galeria de fotos pueden visualizar algunas de las cirugias que he realizado. 

ver más Sobre mí

No se aceptan aseguradoras

Este especialista sólo acepta pacientes privados. Puede pagar directamente la cita para reservar, o encontrar otro especialista que acepte su aseguradora.

Consultorio

Ampliar se abre en una nueva pestaña
Consultorio

Catemaco 37, Entre Av la fragua y General Miguel Aleman, Centro, Veracruz Centro 91918

Disponibilidad

Número de teléfono

222 363...
Ampliar se abre en una nueva pestaña

Servicios y precios

  • Primera visita Ortopedia

    $900

  • Primera visita Traumatología

    $900

  • Consulta de rodilla

    $900

  • Consulta de primera vez

    $900

  • Visita Traumatología

    $900

10 opiniones

Nuevo Perfil en Doctoralia

Los pacientes ya empezaron a agregar sus opiniones

Todas las opiniones son importantes, por este motivo, los especialistas no pueden pagar para modificar o eliminar opiniones. Saber más. Más información sobre opiniones
  • J

    Muy profesional y empatico, siempre atento del seguimiento

     • Consultorio Visita Traumatología  • 

  • A

    Muy buen especialista explica muy bien y sobre todo diagnosticado muy acertados y resuelve cada caso con dedicación!!

     • Consultorio Visitas sucesivas Ortopedia  • 

  • V

    Excelente doctor!! Muy humano, gran experiencia, muy buena atención, los medicamentos que receta siempre son muy acertados. Lo recomiendo ampliamente

     • Consultorio Primera visita Ortopedia  • 

  • A

    Excelente traumatologo muy profecional, muy recomendable, disposición muy buena atención

     • Consultorio Visita Traumatología  • 

  • I

    Estoy muy agradecido con el Dr. Olivera por su profesionalismo y calidad humana. Desde la primera consulta se mostró empático y claro al explicar mi diagnóstico y opciones de tratamiento. Hoy puedo volver a mis actividades gracias a su atención. ¡Un gran especialista!

     • Consultorio Visitas sucesivas Ortopedia  • 

  • E

    Excelente servicio, el Dr. empático y profesional en todo momento, instalaciones muy limpias, recomiendo 10 de 10

     • Consultorio Consulta de valoración  • 

  • Y

    Recomiendo mucho al Dr Olivera, muy profesional y dedicado

     • Consultorio Primera visita Ortopedia  • 

  • D

    Excelente atención, muy eficiente y empático el doctor, explica muy bien las cosas

     • Consultorio Primera visita Ortopedia  • 

  • K

    Excelente doctor explica bien muy buena consulta su tratamiento bien me alivió rápido y favorable

     • Consultorio Artroscopia de rodilla  • 

  • A

    Excelente ortopedista , muy dedicado y muy profesional !!!

     • Consultorio Primera visita Ortopedia  • 

Se ha producido un error, inténtalo de nuevo.