Dra. Hortensia Arroyo

Dentista - Odontóloga · Ver más sobre las especializaciones

Aguascalientes 2 direcciones

No. de cédula: 7366342 13340269

18 opiniones
Tiempo de respuesta aproximado:

Experiencia

*Preparación profesiona Médico Cirujano Dentista, por la Universidad Autónoma de Zacatecas (UAZ), con más de una década de experiencia, he tenido la oportunidad de ayudar a numerosas personas a alcanzar una sonrisa saludable y funcional. Además, soy Especialista en Ortodoncia, por (AOMEI); Ciudad de México , área en la que me enfoco en corregir problemas de alineación y mordida, ofreciendo tratamientos personalizados que no solo mejoran la estética dental, sino también la calidad de vida. Mi compromiso es brindar una atención profesional, cercana y de alta calidad, utilizando técnicas modernas y adaptadas a las necesidades de cada paciente. Estoy aquí para ayudarte a lograr una sonrisa que te haga sentir seguro y feliz. ¡Tu salud y confianza son mi prioridad!

ver más Sobre mí

Enfocado en:

  • Ortodoncia
  • Odontología estética

Pacientes que atiendo

Adultos
Niños

Tipos de consulta

Fotos y videos

Logo
Dra. Hortensia Arroyo

Blvd Luis Donaldo Colosio Murrieta #105, Jardines de la Concepción Interior 4, Aguascalientes 20120

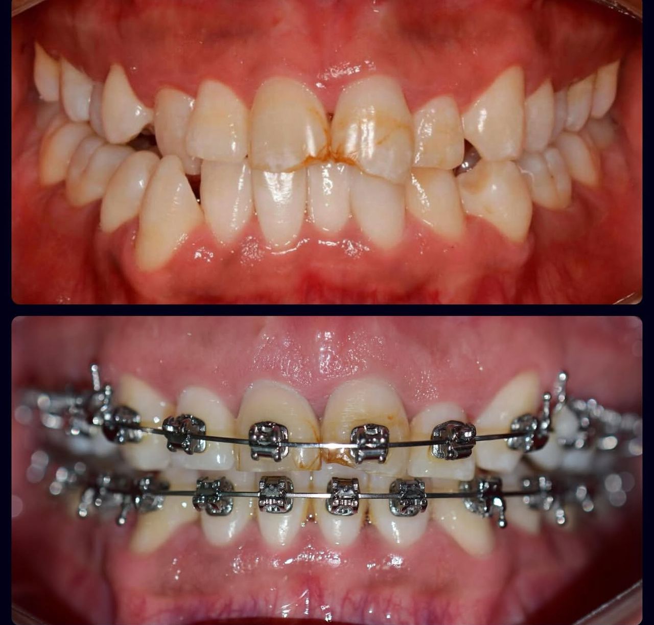
Recuperando Sonrisa
Nuestro paciente llegó con fracturas en sus dientes frontales y restauraciones que no le daban seguridad al sonreír. Con un blanqueamiento dental y carillas en los dos dientes centrales superiores, logramos devolver confianza, estética y naturalidad a su sonrisa.

21/01/2026

Servicios y precios

  • Visitas sucesivas Odontología


  • Carillas de porcelana

    $600

  • Ortodoncia

    $600

  • Primera visita Odontología

    $600

  • Consulta en línea

    $600

Artículos

Ortodoncia

La Ortodoncia es una especialidad de la Odontología que se encarga de corregir la posición de los dientes y mejorar la mordida. El tratamiento mas conocido son los brackets. Los brackets no solo mejoran la apariencia de tu sonrisa, también ayudan a evitar problemas al masticar, dolor en la mandíbula y desgaste en los dientes. Si tienes los dientes chuecos, muy separados, empalmados o muerdes mal, la ortodoncia te ayudara a tener una sonrisa más bonita y saludable.

Consultorios (2)

Ampliar se abre en una nueva pestaña
Dra. Hortensia Arroyo

Blvd Luis Donaldo Colosio Murrieta #105, Jardines de la Concepción Interior 4, Jardines De La Concepción I, Aguascalientes 20120

Disponibilidad

Ampliar se abre en una nueva pestaña
Reserva por teléfono 24/7
Ampliar se abre en una nueva pestaña
Óptica Cristal

Doctor Gilberto Delgadillo #4-D, Colonia Centro, La Estrella , Rio Grande 98420

Disponibilidad

Este especialista no ofrece reserva online en esta dirección

Ampliar se abre en una nueva pestaña
Reserva por teléfono 24/7

No se aceptan aseguradoras

Este especialista sólo acepta pacientes privados. Puede pagar directamente la cita para reservar, o encontrar otro especialista que acepte su aseguradora.

18 opiniones

Lo más mencionado por los pacientes

  • Dedicación durante la visita
  • Explicaciones detalladas
  • Instalaciones excelentes
Todas las opiniones son importantes, por este motivo, los especialistas no pueden pagar para modificar o eliminar opiniones. Saber más. Más información sobre opiniones
  • A

    Me explico super bien sobre mi problema, y la atención fue excelente y puntual.
    Pronto volveré para mi tratamiento de ortodoncia

     • Dra. Hortensia Arroyo Primera visita Odontología  • 

    Dra. Hortensia Arroyo

    Muchas gracias por tu comentario y por confiar en mí para tu atención. Me alegra saber que la explicación y la consulta fueron claras para ti. Será un gusto acompañarte en tu tratamiento de ortodoncia y ayudarte a lograr la sonrisa que desea.


  • A

    Excelente la Doctora. Explica a detalle y da opciones. La recomiendo mucho!

     • Dra. Hortensia Arroyo Ortodoncia  • 

    Dra. Hortensia Arroyo

    Te agradezco mucho tu opinión y tu recomendación. Para mí es muy importante que cada paciente entienda su diagnóstico y las opciones de tratamiento. Quedo con gusto a tus órdenes para continuar con tu atención.


  • M

    Muy servicial y explica muy bien todo cualquier duda la responde amablemente

     • Dra. Hortensia Arroyo Visita Odontología  • 

    Dra. Hortensia Arroyo

    ¡Muchas gracias por tomarte el tiempo de dejar tu opinión!
    Me alegra muchísimo saber que tu experiencia fue positiva. Para mí es muy importante que cada paciente se sienta cómodo, escuchado y bien atendido.
    Aprecio de verdad tu confianza y será un gusto seguir acompañándote en tu tratamiento.


  • M

    Muy profesional y comprometida, explica a detalle de forma en que a uno le es fácil entender.

     • Dra. Hortensia Arroyo Visita Odontología  • 

    Dra. Hortensia Arroyo

    Agradezco mucho tu opinión y tu confianza. Es un placer atenderte y me comprometo a seguir brindando una atención de calidad en cada consulta.


  • J

    Fue muy detallada con sus explicaciones y todo el tiempo estuvo al pendiente de cualquier duda que tuviera

     • Dra. Hortensia Arroyo Primera visita Odontología  • 

    Dra. Hortensia Arroyo

    ¡Muchas gracias por tu confianza! Me alegra saber que te sentiste bien atendida. Estoy para ayudarte siempre que lo necesites.


  • A

    Excelente atención de la doctora, llevo un tratamiento donde me realizaron resinas en mis dientes con caries, quedaron súper bonitas muy estéticas ni se notan y ahora estoy con mi tratamiento de Brackets, estoy por finalizar mi tratamiento y me siento muy contenta con los resultados.

     • Dra. Hortensia Arroyo Brackets autoligado  • 

    Dra. Hortensia Arroyo

    Agradezco mucho tu opinión y tu confianza. Es un placer atenderte y me comprometo a seguir brindando una atención de calidad en cada consulta.


  • K

    Excelente atención y buen trato, responde todas mis dudas a tiempo y me siento cómoda

     • Dra. Hortensia Arroyo Extracción de las muelas del juicio  • 

    Dra. Hortensia Arroyo

    ¡Muchas gracias por tu confianza! Me alegra saber que te sentiste bien atendida. Estoy para ayudarte siempre que lo necesites.


  • C

    Buen trato, buena explicación del tratamiento, y se respeta el horario y cita

     • Dra. Hortensia Arroyo  • 

    Dra. Hortensia Arroyo

    Agradezco mucho tu opinión y tu confianza. Es un placer atenderte y me comprometo a seguir brindando una atención de calidad en cada consulta.


  • D

    Excelente servicio vamos súper bien con mis brackets

     • Dra. Hortensia Arroyo Brackets autoligado  • 

    Dra. Hortensia Arroyo

    Agradezco mucho tu opinión y tu confianza. Es un placer atenderte y me comprometo a seguir brindando una atención de calidad en cada consulta.


  • C

    Excelente doctora, siempre atenta a la atención del paciente y siempre explica de la mejor manera las cosas

     • Dra. Hortensia Arroyo Visita Odontología  • 

    Dra. Hortensia Arroyo

    ¡Muchas gracias por tu confianza! Me alegra saber que te sentiste bien atendido. Estoy para ayudarte siempre que lo necesites.


Se ha producido un error, inténtalo de nuevo.

Dudas solucionadas

11 dudas solucionadas a pacientes en Doctoralia

Duda sobre Ortodoncia convencional

Solo tengo brackets y tubos hasta primer molar, y tengo las muelas del juicio, me cambian de ligas cada 2 semanas , dudo un poco

hola!
Las dudas que tienes con respecto a los tubos y a las muelas del juicio, en efecto los tubos se colocan hasta segundo molar y las muelas se retiran en muchos de los casos, pero es super importante valorar tu caso para saber por que el Ortodoncista decidió que fuera así tu tratamiento, ya que hay casos especiales donde se toman ciertas decisiones, esto por que cada caso es super diferente. Ahora el cambio de ligas o modulos se realiza cada mes por un tema que involucra distintos factores. si tienes dudas pregunta a tu doctor el debe de resolverlas, si no es así busca a otro valoración con un ortodoncista. Quedo a tus ordenes . Saludos

Dra. Hortensia Arroyo

Una guarda se puede hacer con escaner intraoral? O es mejor con molde?

hola!
puede hacerse de ambas formas y las dos son correctas

Dra. Hortensia Arroyo
Muestra todas las respuestas

Todos los contenidos publicados en Doctoralia, especialmente preguntas y respuestas, son de carácter informativo y en ningún caso deben considerarse un sustituto de un asesoramiento médico.