Dr. Héctor Adrián Garza Lazarini

Dentista - Odontólogo · Ver más

Nuevo Laredo 1 dirección

No. de cédula: 5009200

114 opiniones
Tiempo de respuesta aproximado:
Logo
Dr. Héctor Adrián Garza Lazarini

Avenida Santos Degollado 1108, Nuevo Laredo 88000

Hablemos...

06/06/2025

Experiencia

Mi interés máximo es preservar tu salud! Haremos uso de todos los recursos necesarios para que tu visita sea lo mas cómoda, segura e indolora posible. Contamos con instalaciones adecuadas, equipo moderno y personal capacitado y amable, dispuestos a ofrecerte la mejor experiencia posible. 
   Tenemos un equipo de trabajo preparándose continuamente para brindarte lo mejor que la odontología tiene para ofrecer. Estamos a tus órdenes. Gracias por tu confianza. 
Emergencias MEX USA +1 956 9996655
ver más Sobre mí

Enfocado en:

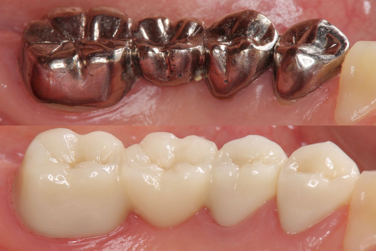
  • Rehabilitación bucal
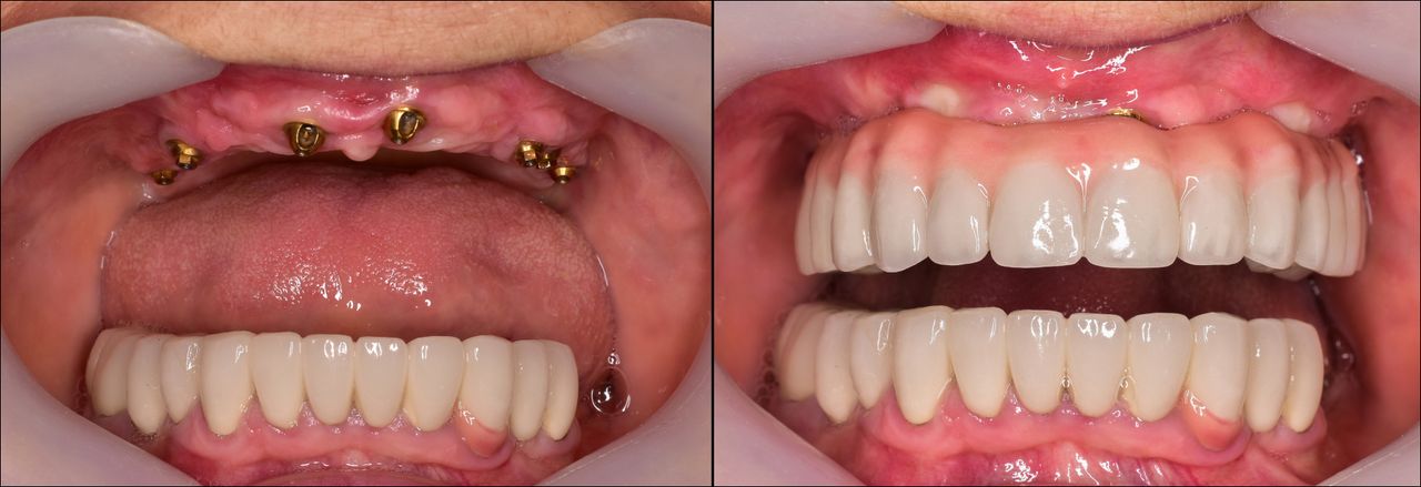
  • Prótesis bucal e implantología
  • Ortodoncia
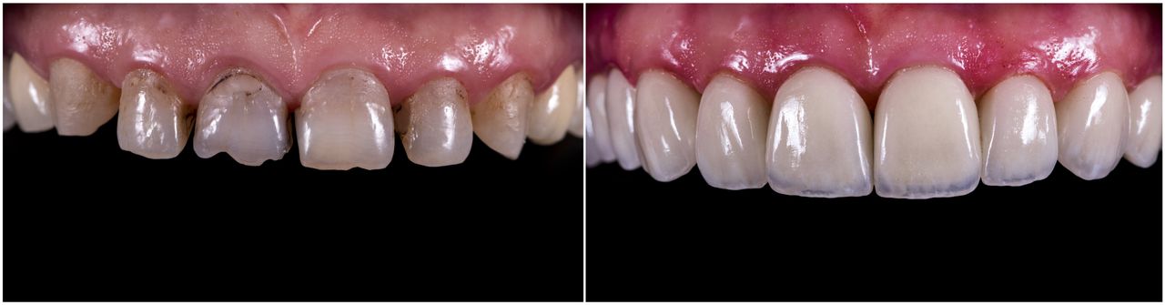
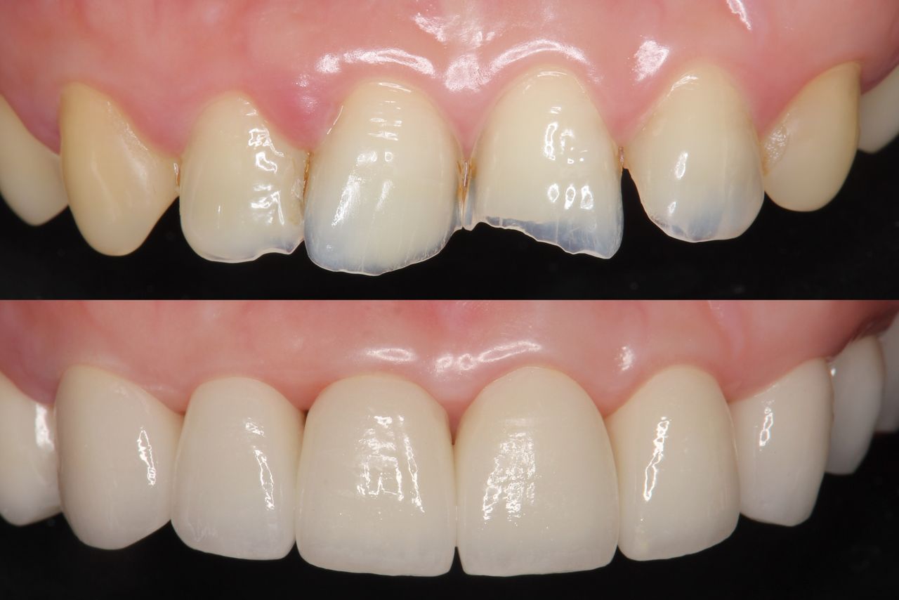
  • Odontología estética

Pacientes que atiendo

Adultos
Niños

Tipos de consulta

Videoconsulta

Fotos y videos

Destacados

No se aceptan aseguradoras

Este especialista sólo acepta pacientes privados. Puede pagar directamente la cita para reservar, o encontrar otro especialista que acepte su aseguradora.

Consultorios (2)

Ampliar se abre en una nueva pestaña
Nuevo Laredo Centro

Avenida Santos Degollado 1108, Sector Centro, Nuevo Laredo 88000

Disponibilidad

Número de teléfono

867 400...
Ampliar se abre en una nueva pestaña

Disponibilidad

Servicios y precios

  • Consulta en línea

    $500

  • Consulta Valoración

    $500

  • Emergencia Dental

    $1,000

  • Limpieza dental

    $600

Artículos

Invisalign

El tratamiento de ortodoncia con alineadores es la opción mas cómoda y estética para corregir la posición de los dientes. Este tratamiento es muy solicitado por adultos jóvenes y todo paciente que quiere resultados rápidos sin usar brackets. Súper práctico. No se notan. Se retiran únicamente para comer y cepillar los dientes. Se fabrican después de una planificación detallada tridimensional. Excelente opción.


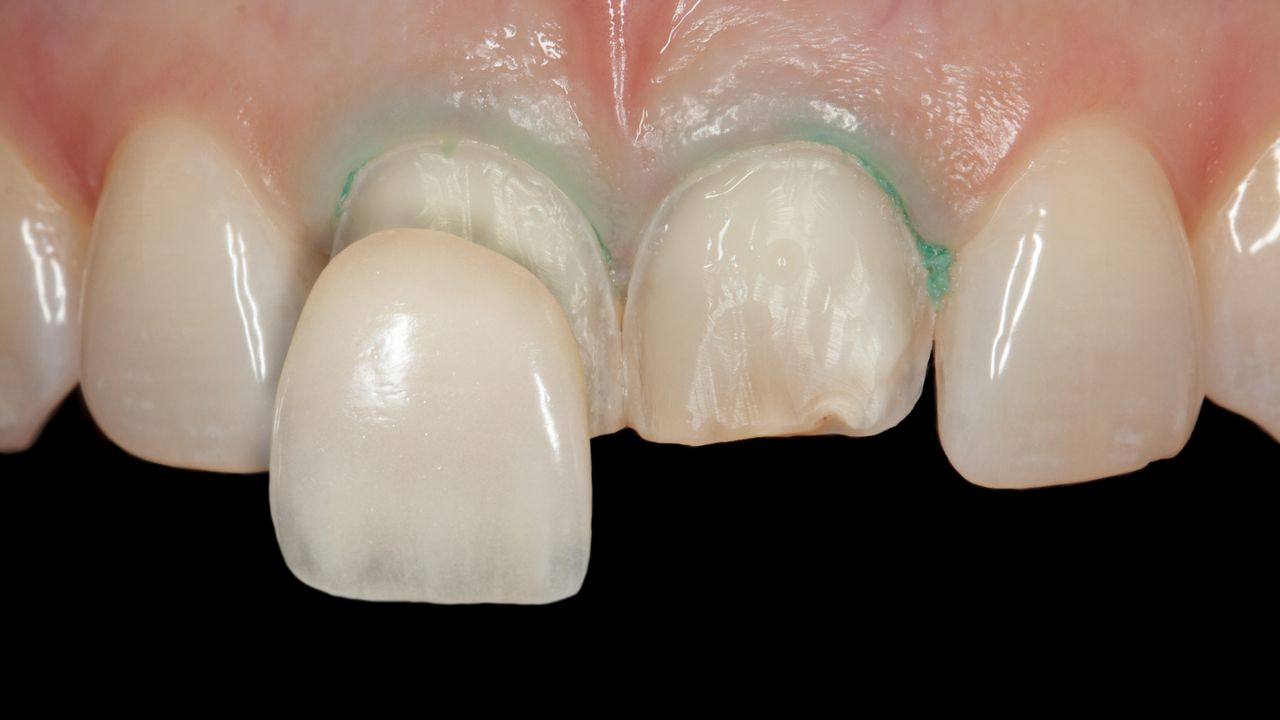
Carillas de porcelana

Las carillas son unos laminados individuales que remplazan el esmalte protésicamente. Van adheridos. Se pueden realizar con o sin desgaste de la superficie de los dientes. Se debe revisar otros factores antes de realizarse este tipo de procedimiento. Se puede realizar en una o en varias piezas, logrando cambios estéticos radicales.


Diseño de sonrisa

Esto nos permite realizar un cambio radical en la imagen de los pacientes. Se colocan carillas de cerámica en todas las piezas que se muestran al hablar o sonreír. Se realiza previamente una profunda planificación y también una serie de pruebas para que nuestros pacientes se sientan felices con el cambio. Se logran cambios muy evidentes e impactantes que se extiende a su manera de relacionarse con el mundo y en su autoestima.


Enfermedad periodontal - piorrea

Es muy importante tratar las infecciones de la encía. Con mucha frecuencia no generan dolor y se posterga su tratamiento. Este tipo de padecimientos provoca una destrucción agresiva de los tejidos que rodean al diente provocando movilidad en las piezas y posteriormente, su pérdida.


Blanqueamiento dental

Es muy importante realizar este tipo de procedimientos con cuidado y después de una evaluación profunda. se deben proteger los tejidos blandos y las superficies dentales con perdida de superficie del esmalte. Son sustancias muy fuertes. Se pueden obtener resultados inmediatos. Me gusta complementarlo con un tratamiento adicional para disminuir la sensibilidad y asegurar que los resultados se mantengan durante mas tiempo.


Trastornos de la articulación temporomandibular

Es un padecimiento muy común. Puede generar dolores muy intensos de la cara, mandíbula, incluso puede generar dolores de cabeza y puede confundirse con migraña. Es muy importante corregirlo ya que no se resuelve automáticamente. Solo puede empeorar. Trae consigo desgaste agresivos de las piezas dentales, alteraciones de la estética facial. Puede provocar la perforación del cartílago articular y desgaste de la superficie del cóndilo del maxilar inferior.

Ver todos los artículos

114 opiniones

Todas las opiniones son importantes, por este motivo, los especialistas no pueden pagar para modificar o eliminar opiniones. Saber más. Más información sobre opiniones

Destacadas

  • M

    El Dr. Garza Lazarini es experto en su trabajo, realiza todos sus tratamientos con mucha seguridad,
    El siempre tiene una respuesta lógica y adecuada a tus preguntas.
    Lo recomiendo ampliamente.

     • Nuevo Laredo Centro Endodoncia  • 

    Dr. Héctor Adrián Garza Lazarini

    Bendiciones.


  • ¡El médico es excelente, muy amable con los niños, un profesional en su campo! ¡Lo aconsejaremos a todo el mundo! Estábamos viajando a Nuevo Laredo, era urgente sacar el diente del niño. Nos registramos a través del sitio, el médico nos recibió el domingo, ¡resolvía el problema de forma rápida y eficiente! Estamos muy agradecidos. ¡Muchas gracias!

     • Nuevo Laredo Centro Emergencia Dental  • 

    Dr. Héctor Adrián Garza Lazarini

    Bendiciones


  • K

    I saw Dr. Hector Garza a few weeks ago to get some dental work done on my teeth. I went to about 4 dentists here in the states, but none of them would work on the implant I have on my lower or even loosen it as I cut it into my jaw, Dr. Garza, said no problem.
    made the appt took out the implant cleaned did the repairs as it never did fit right since I got it. It feels so good not to have it rubbing in my mouth with every bite I took. He also fixed my upper which I had glued together as I split I in half just days before my app he fixed that for me also at the same time. Dr. Garza, Thank You. I think I will have him make me a new upper plate when I go back. sometime soon. I found him on the internet and am glad he is working on my mouth...

     • Dr Héctor Garza - Nuevo Laredo Laboratorio Delta  • 

    Dr. Héctor Adrián Garza Lazarini

    Blessings.


  • J

    He programado cita para mi esposa y yo, ambas citas han sido canceladas en dos ocasiones, la última de ellas el día de hoy. La cuál de programó con días de anticipación y sin aviso se cancela, poco respeto al tiempo de los demás.

     • Nuevo Laredo Centro Limpieza dental  • 

    Dr. Héctor Adrián Garza Lazarini

    Estamos teniendo algunas complicaciones técnicas con la plataforma de auto-agendamiento. Hemos intentado localizarlo en su teléfono pero sin éxito. Disculpe los inconvenientes. Intentaremos contactarlo nuevamente. Bendiciones.


  • N

    Me encanta la atención personalizada y el profesionalismo con el que atienden los niños, excelente Doctor.

     • Nuevo Laredo Centro Consulta Valoración  • 

    Dr. Héctor Adrián Garza Lazarini

    Gracias. Bendiciones


  • R

    MUY BUEN TRABAJO LA ATENCION FUE MUY ADECUADA EXELENTE SERVICIO

     • Nuevo Laredo Centro Emergencia Dental  • 

    Dr. Héctor Adrián Garza Lazarini

    Bendiciones


  • G

    El Dr Garza proporciono una evaluacion clara y completa y respondio satisfactoriamwnte todas las preguntas que se le hicieron!

     • Nuevo Laredo Centro Consulta Valoración  • 

    Dr. Héctor Adrián Garza Lazarini

    Bendiciones


  • K

    Fue grato que me escuchara y entendiera el miedo que tengo muy atento en todo el procedimiento me esta ayudando a arreglar una mala práctica y por el momento todo marcha excelente

     • Nuevo Laredo Centro Emergencia Dental  • 

    Dr. Héctor Adrián Garza Lazarini

    Bendiciones


  • J

    Excellent service in English or Spanish. Highly recommend

     • Nuevo Laredo Centro  • 

    Dr. Héctor Adrián Garza Lazarini

    Blessings


  • E

    Excelente servicio del doctor Héctor, es muy profesional, me detallo en todo momento los procedimientos que seguiría, me dio desde el inicio un presupuesto completo, muy buen trabajo realizado, muy respetuosos de mi tiempo. Lo recomiendo ampliamente.

     • Nuevo Laredo Centro Endodoncia  • 

    Dr. Héctor Adrián Garza Lazarini

    Bendiciones


Se ha producido un error, inténtalo de nuevo.

Dudas solucionadas

284 dudas solucionadas a pacientes en Doctoralia

Hola. Me hice una endodoncia y me dijeron que tengo que usar una corona, sin embargo me dijeron que tenía que colocarme un poste, consulté a otro especialista para colocar coronas y me dijeron que ya es muy poco usado el poste y hoy en día es la colocación de un reforzamiento de fibra para posteriormente colocar coronas.¿ Que es más recomendable?

Ambas son buenas opciones, depende de varios factores técnicos como la integridad de la pieza.

Dr. Héctor Adrián Garza Lazarini

Duda sobre Apendicectomia por laparotomía

Hola buenas tardes.
Me puedo pintar el cabello después de 17 días de una cirugía de muela con quistes en la misma.
Gracias, un saludo!

si

Dr. Héctor Adrián Garza Lazarini
Muestra todas las respuestas

Todos los contenidos publicados en Doctoralia, especialmente preguntas y respuestas, son de carácter informativo y en ningún caso deben considerarse un sustituto de un asesoramiento médico.