Dr. Carlos Alberto Mojica López

Traumatólogo · Ver más sobre las especializaciones

Cuauhtémoc 3 direcciones

No. de cédula: 14116714 11833542

7 opiniones
Tiempo de respuesta aproximado:

Experiencia

Bienvenidos a mi consulta en la Clínica de Traumatología y Reconstrucción Articular de Cadera y Rodilla! ¡Hola! Soy el Dr. Carlos Alberto Mojica López, especialista en Ortopedia/Traumatología con alta especialidad en Cirugía de Cadera y Rodilla. En mi consulta, me dedico exclusivamente a brindar atención especializada a pacientes con problemas osteo-articulares, con un enfoque específico en el área de las articulaciones de la cadera y rodilla. Mi pasión y experiencia en este campo me permiten ofrecer soluciones efectivas y personalizadas para una variedad de condiciones que se presentan en la cadera y rodilla. Mi enfoque se centra en ti, el paciente. Entiendo lo desafiante que puede ser vivir con dolor o limitaciones debido a problemas de cadera y rodilla, y mi objetivo es ayudarte a recuperar tu calidad de vida. Desde el primer momento en que entras en mi consulta, te trato con compasión, respeto y empatía. Utilizo tecnología de vanguardia y los últimos avances en reconstrucción articular de cadera y rodilla, para garantizar que recibas la atención más avanzada y efectiva disponible. Ya sea que necesites un tratamiento conservador o una cirugía, te guiaré a través de cada paso del proceso, asegurándome de que entiendas todas tus opciones y de que te sientas cómodo y seguro en todo momento.

ver más Sobre mí

Enfocado en:

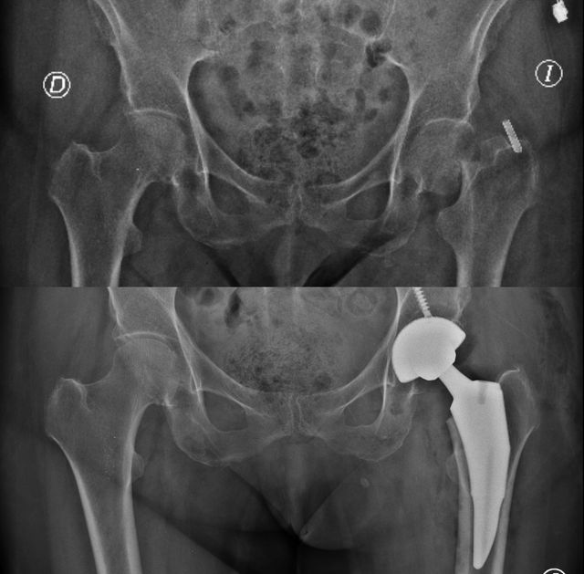
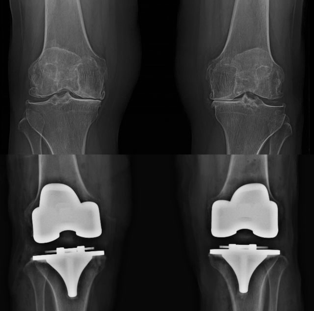
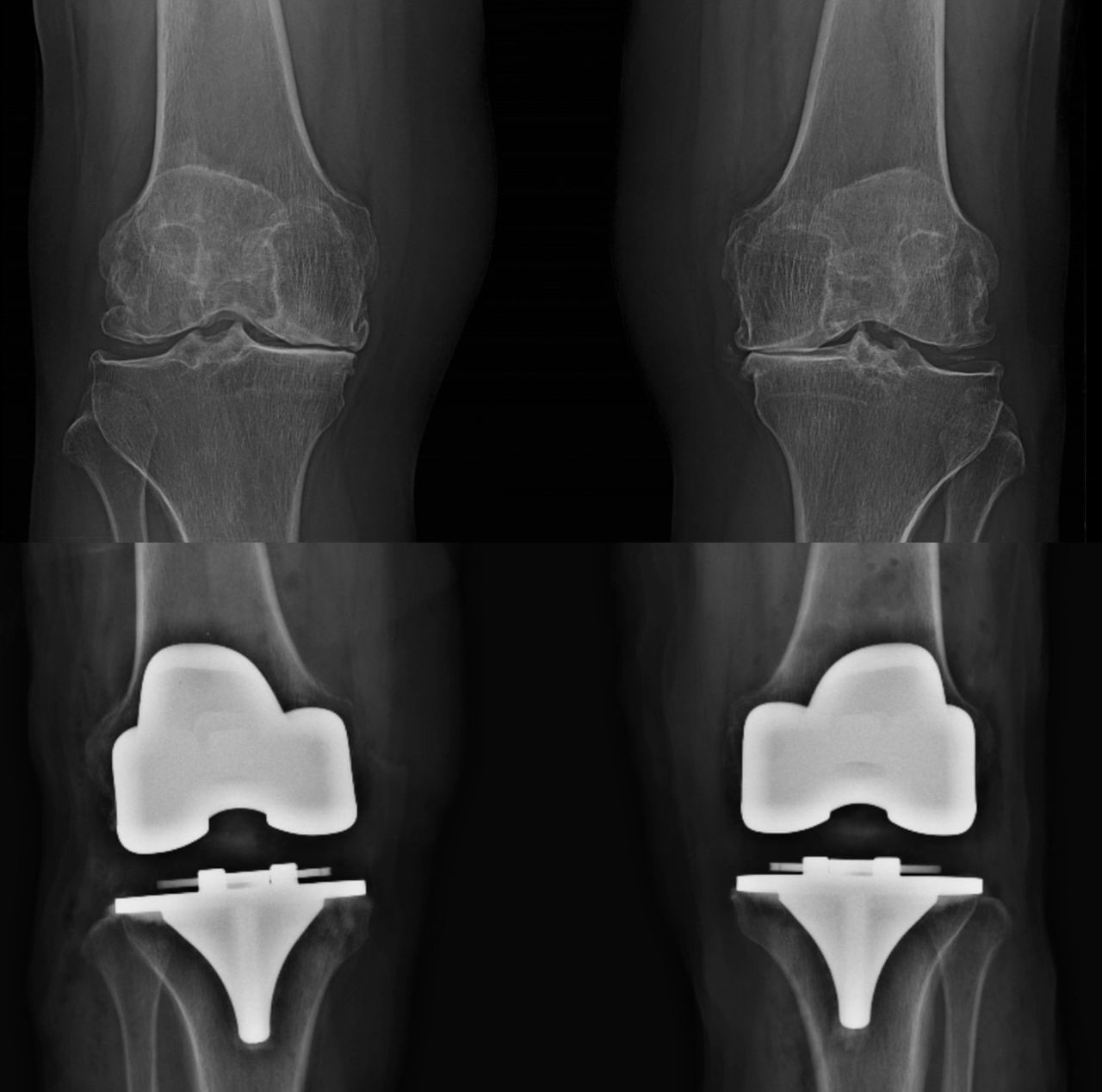
  • Prótesis de cadera
  • Prótesis de rodilla
  • Artroscopia de rodilla
  • Cirugía articular
  • Cirugía cadera
  • Artroplastia
Mostrar más detalles

Pacientes que atiendo

Adultos

Tipos de consulta

Videoconsulta

Fotos y videos

Logo
Dr. Carlos Alberto Mojica López

Av. San Diego 1203, Cuernavaca 62330

El dolor en cadera o rodilla ha limitado tu calidad de vida? No lo normalices, no es normal vivir con dolor. El reemplazo articular de rodilla/cadera es uno de los procedimientos quirúrgicos más seguros y exitosos de todos los tiempos, siempre y cuando recibas una valoración adecuada por alguien con el adiestramiento adecuado. Contáctanos, somos especialistas en cirugía de cadera y rodilla. Vive tu vida sin dolor.

12/09/2025

Servicios y precios

  • Consulta en línea

    $1,500

  • Consulta de Ortopedia y Traumatología

    $1,500

  • Reducción ortopédica osteosíntesis percutanea e inmovilización de fracturas y/o luxaciones


  • Reducción ortopédica e inmovilización de fracturas y/o luxaciones


  • Ortopedia y traumatología

    $1,500

Consultorios (4)

Disponibilidad

Pago en línea

Aceptado

Reserva por teléfono 24/7
Ampliar se abre en una nueva pestaña
Hospital San Diego

Av. San Diego 1203, Delicias, Cuernavaca 62330

Disponibilidad

Ampliar se abre en una nueva pestaña
Reserva por teléfono 24/7
Ampliar se abre en una nueva pestaña
Hospital ángeles Pedregal Consultorio 825 Torre Ángeles

Camino Sta. Teresa 1055-S, Héroes De Padierna , Magdalena Contreras 10700

Disponibilidad

Ampliar se abre en una nueva pestaña
Reserva por teléfono 24/7
Ampliar se abre en una nueva pestaña
Condesa

Avenida Sonora 166, Piso 4, Hipódromo, Colonia Condesa, Cuauhtémoc 06100

Disponibilidad

Ampliar se abre en una nueva pestaña
Reserva por teléfono 24/7

Aseguradoras aceptadas

Se aceptan aseguradoras, pero la cobertura varía según la ubicación y el servicio.

  • GNP Seguros
  • AXA Seguros
  • MetLife México
  • Bupa México
  • Seguros Monterrey
+4 más

7 opiniones

Todas las opiniones son importantes, por este motivo, los especialistas no pueden pagar para modificar o eliminar opiniones. Saber más. Más información sobre opiniones
  • M

    El doctor cancelo la cita media hora despues de que estuve esperando en el consultorio. Mande mensaje para reagendar y nada.

     • Condesa Consulta de Ortopedia y Traumatología  • 

  • D

    Excelente Doctor.. muy atento y nos dio esa confianza.

     • Hospital San Diego Consulta de Ortopedia y Traumatología  • 

    Dr. Carlos Alberto Mojica López

    Muchas gracias por la confianza Daniela. Estoy pendiente de ustedes. Si necesitan algo, tienen mi número.


  • S

    Buena atención, se ve que el doctor cuenta con los conocimientos para atenderte de manera correcta

     • Condesa Visita Traumatología  • 

  • A

    Excelente especialista. Me explicó todo de manera clara. El trato fue muy humano y amable. El diagnóstico y tratamiento acertado. Lo recomiendo ampliamente

     • Consulta en línea Consulta en línea  • 

    Dr. Carlos Alberto Mojica López

    Agradezco tu confianza. Estamos para servirte.


  • M

    Todo súper bien, atención rápida y amable. El doctor me explicó todo y resolvió mis dudas.

     • Condesa Visita Traumatología  • 

    Dr. Carlos Alberto Mojica López

    Agradezco tu confianza y el comentario MariFer. Me da gusto haber podido ayudarte. Estamos para servirte.


  • H

    Excelente doctor! Explicación comprensible, muy paciente, aclaro todas mis dudas, con excelente calidad humana

     • Condesa Visita Ortopedia  • 

    Dr. Carlos Alberto Mojica López

    Gracias por la confianza HP. Me da gusto haberte ayudado. Continúo pendiente de tu evolución. No dudes en contactarme ante cualquier duda o inquietud. Estamos para ayudarte.


  • C

    El Dr. Mojica es un excelente ortopedista. Resolvió todas mis dudas detalladamente y fue muy acertado con mi diagnostico y tratamiento. Las instalaciones están limpias y muy lindas, él fue muy atento y estuvo al pendiente de mi evolución. Sin duda lo recomiendo ampliamente.

     • Condesa Visita Ortopedia  • 

    Dr. Carlos Alberto Mojica López

    Muchas gracias por la confianza para tu cirugía de cadera. Me da gusto haber sido de ayuda y haberte acompañado en tu proceso diagnóstico y de tratamiento. Continuamos pendientes de ti y de tu evolución, no dudes en contactarme ante cualquier duda o inquietud. Estamos para ayudarte.


Se ha producido un error, inténtalo de nuevo.

Dudas solucionadas

21 dudas solucionadas a pacientes en Doctoralia

Duda sobre Fractura de fémur

Hola doctor tengo 3 meses de operado de una fractura clavícula luxación me colocaron una platina con 3 tornillos un tornillo no me agarró el huesos quedó en carne propia siento, no eh realizado las terapias será que estoy apto para trabajar soy militar

Buenas tardes. Las fracturas de clavícula manejadas de manera quirúrgica, a los 3 meses, ya deberían presentar consolidación del hueso y debería poder regresar a sus actividades habituales con algunas restricciones en cuanto a ejercicios que deberíamos de evitar. Sin embargo, si existe una técnica quirúrgica deficiente o existe algún retraso en la consolidación, esto retrasará la reintegración a sus actividades. lo ideal es valorarte clínica y radiológicamente para estar seguros de en qué condiciones se encuentra tu clavicula y de esta manera, puedas o no regresar a tus actividades. Espero haber podido ayudar a tu pregunta. Si necesitas una valoración y más información, estoy a tu servicio. Saludos.

Dr. Carlos Alberto Mojica López

Duda sobre Displasia congénita de la cadera

Paciente de 48 años, mujer, con prótesis de cadera, desde hace 18 años, próxima a remplazo, se fracturó el fémur hace un año, le pusieron placa, injerto hueso, y aun no tiene suficiente callo para apoyar, pues a los 6 meses de operada de su fractura, le autorizaron apoyara un 70% con muleta y colapsó! Ahora ya tiene mejor callo pero no quiere apoyar al 100% por temor a q colapse de nuevo y acorte más su pierna, tiene q haber alguna otra opción para q se asegure su fémur pues ya tiene q hacerse su remplazo, ! Help! Ya estamos desesperadas!

Buenas tardes. Te escribe el Dr. Carlos Alberto Mojica , Ortopedista con alta especialidad en reconstrucción articular de cadera y rodilla. Hay muchos factores importantes que deben considerarse en este caso, pero creo que el más importante, antes de pensar en un reemplazo nuevamente, es descartar una infección periprotésica. Con fractura con tanto tiempo de evolución que no ha consolidado, debe descartarse un proceso infeccioso antes de pensar en algo más. Todo debe evaluarse. espero haber ayudado. estoy a tus órdenes.

Dr. Carlos Alberto Mojica López
Muestra todas las respuestas

Todos los contenidos publicados en Doctoralia, especialmente preguntas y respuestas, son de carácter informativo y en ningún caso deben considerarse un sustituto de un asesoramiento médico.