Dra. Barbara Andrea Vargas Salinas

Dentista - Odontólogo · Ver más

Playa del Carmen 1 dirección

No. de cédula: 10925748 11814961

112 opiniones
Tiempo de respuesta aproximado:

Experiencia

Soy una persona responsable y comprometida con mis pacientes, actualizándome en los mejores cursos y conferencias, buscando lo mejor para ellos. Tendiendo en cuenta la ética profesional y la pasión por lo que hago. Cambiar sonrisas es cambiar vidas.

Enfocado en:

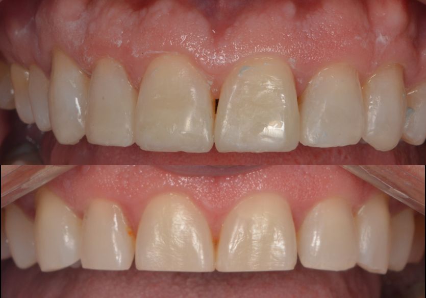
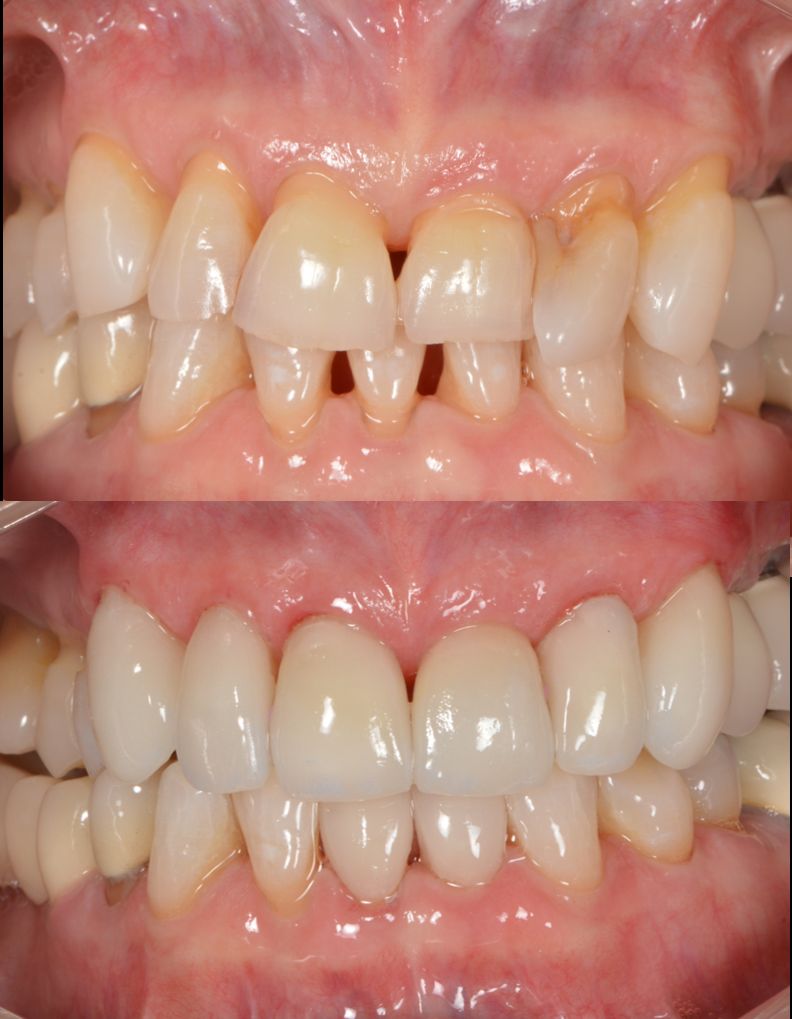
  • Odontología estética
  • Prostodoncia
  • Rehabilitación bucal
  • Prótesis dental

Pacientes que atiendo

Adultos

Tipos de consulta

Fotos y videos

No se aceptan aseguradoras

Este especialista sólo acepta pacientes privados. Puede pagar directamente la cita para reservar, o encontrar otro especialista que acepte su aseguradora.

Consultorio

Ampliar se abre en una nueva pestaña
Fresh Dental Studio

Calle 14 Norte, Gonzalo Guerrero, Playa del Carmen 77710

Disponibilidad

Número de teléfono

984 134...
984 873...
Ampliar se abre en una nueva pestaña

Servicios y precios

  • Primera visita Odontología


  • Extracción de otras piezas dentarias


  • Resinas dentales


  • Reconstrucción dental

    Desde $1,700

  • Profilaxis (Limpieza Dental)

    $1,500

112 opiniones

Todas las opiniones son importantes, por este motivo, los especialistas no pueden pagar para modificar o eliminar opiniones. Saber más. Más información sobre opiniones
  • L

    Fueron muy atentos y pacientes con migo, me explicaron el tratamiento resolviendo mis dudas, gracias

     • Fresh Dental Studio Resinas dentales  • 

  • J

    Excellent,definitely best Dentist in Playa!!!!! I come to Playa specifically to go get dental work done by Dr Barbara

     • Fresh Dental Studio Reconstrucción dental  • 

  • R

    Excelente limpieza , súper profesional. Súper recomendable

     • Fresh Dental Studio Profilaxis (Limpieza Dental)  • 

  • E

    La Dra. Barbara es muy profesional, atenta, meticulosa. La recomiendo totalmente.

     • Fresh Dental Studio Higiene bucodental  • 

  • E

    She was a very good dentist. She seems precise at her work and very in tuned.

     • Fresh Dental Studio Visita Odontología  • 

  • B

    Super profecional y me escucha perfecto lo que yo quiero hacer con mi boca. No trata de hacer presupuestos execivo, reconoce cuando necesita hacer una consulta con un doctor de otra especialidad.
    Realmente la recomiendo

     • Fresh Dental Studio Visita Odontología  • 

  • J

    Super amable, muy detallada en su trabajo, te hace sentir comodo y el trabajo excelente.

     • Fresh Dental Studio Profilaxis (Limpieza Dental)  • 

  • F

    I had a crown replaced. Excellent work and result! The crown is beautiful and fits perfectly. Dra Barbara is an amazing dentist and a very kind person. Highly recommend!

     • Fresh Dental Studio Coronas estéticas  • 

  • B

    Todo perfecto ... Tout était parfait, la prise en charge , les soins et le professionnalisme

     • Fresh Dental Studio Primera visita Odontología  • 

  • M

    Dra Barbara was very friendly and made me feel comfortable. She explained everything she was doing in detail.

     • Fresh Dental Studio Primera visita Odontología  • 

Se ha producido un error, inténtalo de nuevo.