Dr.
Andrés Cepeda González
Dentista - Odontólogo
·
Ver más
Guadalajara 1 dirección
No. de cédula: 9737081
162 opinionesLos pacientes vuelven a su consulta de forma recurrente
Experiencia
Hola soy el Dr. Andrés Cepeda Gonzalez. Con una gran y amplia formación en el sector dental. Diplomado de Odontología Estética y Diseño de sonrisa hecho en Bogotá Colombia. Especialidad de Rehabilitación Oral en Guadalajara México, por último Maestría en Implantología Oral hecha en Valencia España. Contamos con aparatos de última generacion y la mejor tecnología para ofrecerle el mejor trabajo y servicio que pueda existir.
Enfocado en:
- Odontología estética
- Atm y oclusión
- Prostodoncia
- Rehabilitación bucal
- Implantología dental
Principales enfermedades tratadas
- Fluorosis
- Bruxismo
- Trastornos de la ATM
- Fracturas de dientes
- Dientes apiñados
- +9 a11y_sr_more_diseases
Pacientes que atiendo
Destacados
-
Diseño de Sonrisa, Implantología y CirugíaLicenciatura en Cirujano DentistaExcelencia en sus tratamientos, profesionalismo
-
El doctor explicó con mucho detalle los posibles tratamientos y opciones. Muy agradable y profesional. Estoy contento con el aprovechamiento de la visita.
ver másHugo PF -
El doctor es bueno explicando y se ve que tiene mucha experiencia. También es muy amable. Me faltan varios procedimientos y sin dudar los haré con él. Lo único es que recomendaría tener a alguien en l...
ver másAlejandra -
Es un Dr., super profesional y enfocado en que el tratamiento quede excelente. Resolvió todas mis dudas con mucha paciencia y claridad. Siempre cuidando que sus pacientes se sientan cómodos y sin ning...
ver másSoledad Ramírez
Servicios y precios
-
Consulta en línea
$500 -
-
Prótesis parciales removibles
-
-
Injerto de tejido conectivo
-
-
Odontología láser
-
-
Odontología mínimamente invasiva
-
-
-
-
-
-
-
-
-
-
-
-
-
-
-
-
-
-
-
-
-
-
-
-
-
-
-
-
-
-
-
-
-
-
-
-
-
-
-
-
Consultorios (2)
Disponibilidad
Pago en línea
Aceptado
Número de teléfono
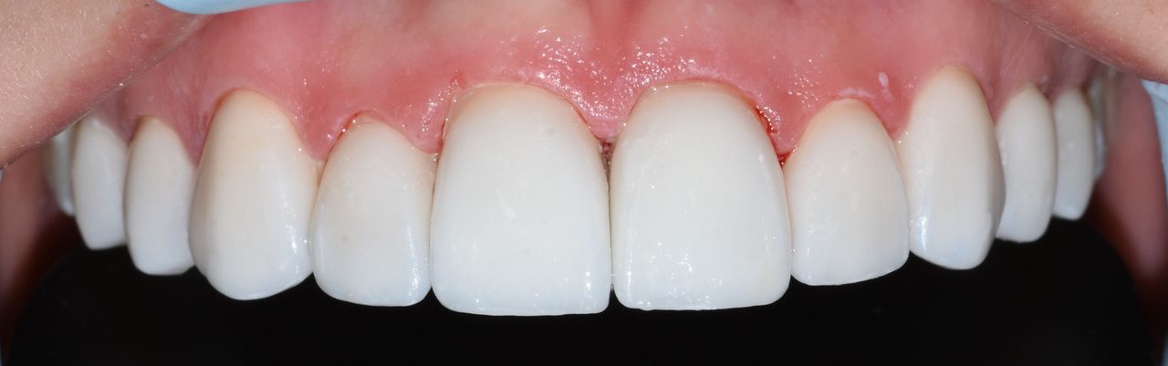
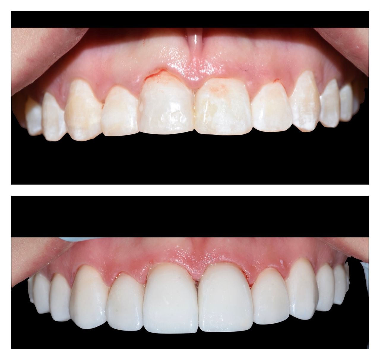
Galería
No se aceptan aseguradoras
Este especialista sólo acepta pacientes privados. Puede pagar directamente la cita para reservar, o encontrar otro especialista que acepte su aseguradora.
Opiniones
162 opiniones
Destacadas
-
H
Hugo PF
El doctor explicó con mucho detalle los posibles tratamientos y opciones. Muy agradable y profesional. Estoy contento con el aprovechamiento de la visita.
• Consultas en línea • Consulta en línea •
-
A
Alejandra
El doctor es bueno explicando y se ve que tiene mucha experiencia. También es muy amable. Me faltan varios procedimientos y sin dudar los haré con él. Lo único es que recomendaría tener a alguien en la recepción
• Consultorio privado • Visita Odontología •
-
S
Soledad Ramírez
Es un Dr., super profesional y enfocado en que el tratamiento quede excelente. Resolvió todas mis dudas con mucha paciencia y claridad. Siempre cuidando que sus pacientes se sientan cómodos y sin ningún tipo de molestia al momento de realizar el tratamiento. Un excelente odontólogo. Mil gracias Dr.
• Consultorio privado • Visitas sucesivas Odontología •
-
I
Ingrid
Muy rápido el proceso, comprensivo con el paciente por el temor al dentista y estamos satisfechos con su trabajo
• Consultorio privado • Cirugia del tercer molar •
-
M
Mónica Jaimes
Excelentes instalaciones el doctor muy atento y amable te da toda la información detallada en pocas palabras un excelente servicio
• Consultorio privado • Primera visita Odontología •
-
F
Federico palomera
Precisión en los procesos de extracción y limpieza en los procedimientos.
• Consultorio privado • Cirugía preprotésica implante endoóseo •
-
L
Luis Martínez
Procedimiento de extracción de muelas del juicio, recuperación sin demasiada inflamación o dolor intenso. El procedimiento fue rápido y la recuperación bastante llevadera. Definitivamente realizar el resto del procedimiento con el mismo doctor.
• Consultorio privado • Extracción de las muelas del juicio •
-
V
Vl
Excelente dentista, me sacó las mulas de juicio. No se tomó much tiempo. Explica todo en detalle.
• Consultorio privado • Extracción de las muelas del juicio •
-
M
MQ
Muy satisfecha con el profesionalismo del doctor, la claridad con la que explicó el procedimiento y detallado en él costo.
• Consultas en línea • Consulta en línea •
-
A
Adrián Z
Todo fue excelente con el dentista, muy rápido, profesional y eficaz. Me atendió sin dolor y con mucho cuidado. Se nota que sabe lo que hace. Salí muy tranquilo y satisfecho.
• Consultorio privado • Profilaxis (Limpieza Dental) •