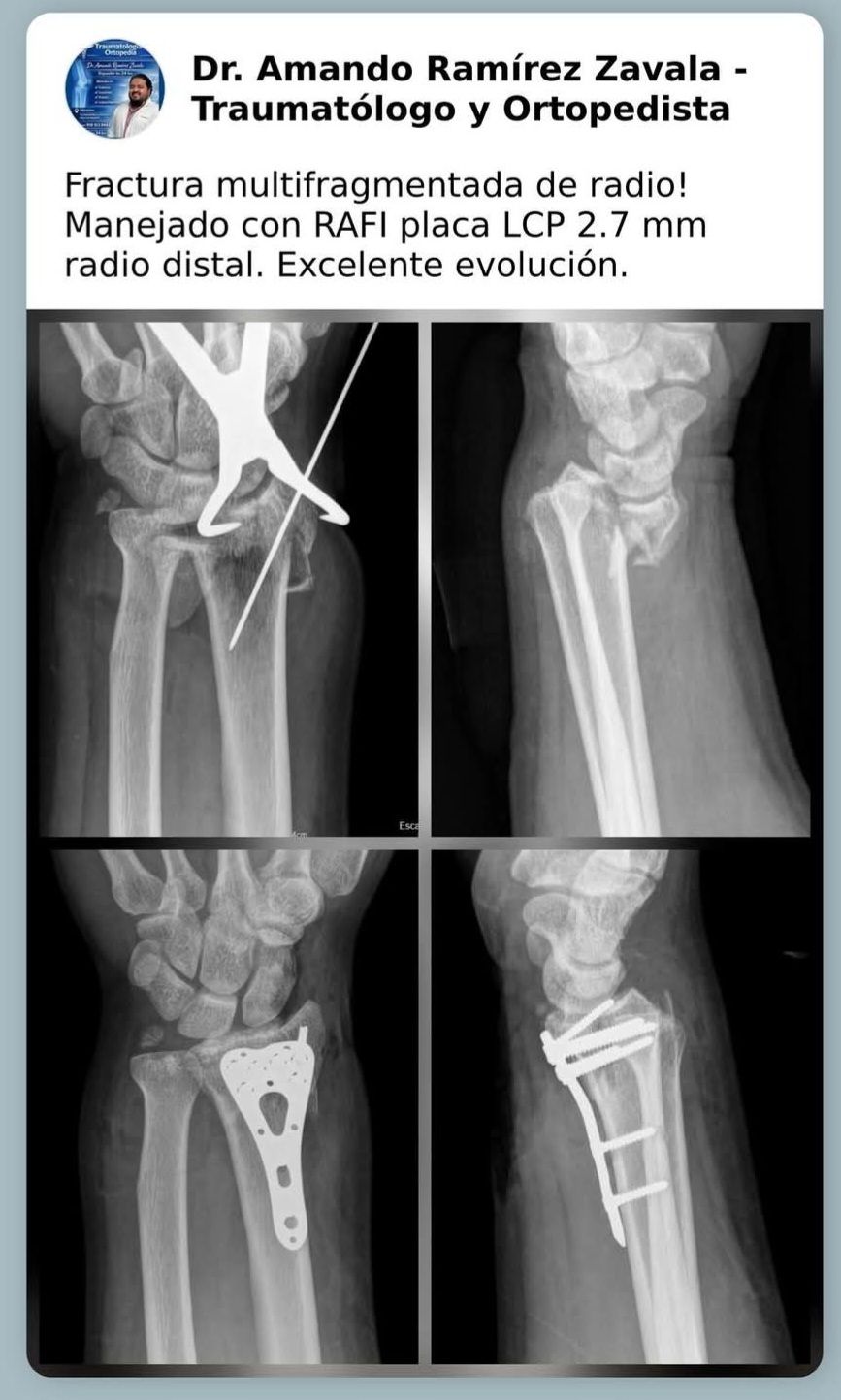
Dr. Amando Ramirez Zavala

Ortopedista · Ver más

No. de cédula: 14448346 11537565

21 opiniones
Tiempo de respuesta aproximado:

Experiencia

Médico Traumatólogo y Ortopedista

Con vocación de servicio, calidad humana y siempre preocupado por el bienestar de mis pacientes.

Mis habilidades más fuertes son el manejo de padecimientos de rodilla, cadera y hombro, así como procedimientos quirúrgicos asociadas a enfermedades degenerativas, fracturas y luxaciones.

Agenda una cita y permíteme orientarte acerca de tu padecimiento.

ver más Sobre mí

Pacientes que atiendo

Adultos
Niños

Tipos de consulta

Fotos y videos

Servicios y precios

  • Visita Ortopedia

    $700

  • Artroplastia de la cadera con prótesis total


  • Artroplastia rodilla con prótesis total


  • Cirugía de rodilla


  • Consulta de primera vez

    $700

Consultorio

Ampliar se abre en una nueva pestaña
Consultorio 2 "Clínica San Alejandro"

9ª Avenida Norte 39, 9a avenida norte par vial, 5ta oriente, tapachula, Lomas Del Soconusco , Chiapas 30749

Disponibilidad

Número de teléfono

918 153...
Ampliar se abre en una nueva pestaña

No se aceptan aseguradoras

Este especialista sólo acepta pacientes privados. Puede pagar directamente la cita para reservar, o encontrar otro especialista que acepte su aseguradora.

21 opiniones

Todas las opiniones son importantes, por este motivo, los especialistas no pueden pagar para modificar o eliminar opiniones. Saber más. Más información sobre opiniones
  • P

    Excelente ubicación, un consultorio moderno y bien cuidado.
    La atención es de alta calidad, la comunicación es muy buena y fluida.
    El tratamiento fue muy efectivo y el doctor le dio seguimiento.

     • Consultorio 2 "Clínica San Alejandro" Consulta de primera vez  • 

  • A

    El tratamiento fue muy efectivo, el doctor me explico como tomarlo a detalle y que cuidados debía seguir en casa, las instrucciones fueron entregadas tambien por escrito. Me Pareció un excelente médico, empatico y muy amable.

     • Consultorio 2 "Clínica San Alejandro" Consulta de primera vez  • 

  • A

    Fue muy paciente y empatico, la cita fue muy positiva. Me explico muy bien el tratamiento y me dio por escrita todas las recomendaciones.

     • Consultorio 2 "Clínica San Alejandro" Visita Ortopedia  • 

  • T

    Muy buen trato, es empatico y amable. Me explico todo a detalle, uso un lenguaje facil para poder digerir mejor la información, eso se lo agradezco mucho.

     • Consultorio 2 "Clínica San Alejandro" Visita Ortopedia  • 

  • B

    Muy agradecida con las finas atenciones del Dr. Ramirez, resolvio oportunamente la fractura de mi mama, con insumos de primera calidad y gran sentido humano , se los recomiendo al mil.

     • Consultorio 2 "Clínica San Alejandro" Inmovilización de fracturas y/o luxaciones de cadera, fémur y rodilla  • 

  • L

    El consultorio tiene una ubicación de facil acceso, encontre donde estacionar sin problemas. El trato por parte del doctor fue muy amable y empatico. Me explico con paciencia el tratamiento, respondió todas mis preguntas y eso se lo agradezco.

     • Consultorio 2 "Clínica San Alejandro" Otro  • 

  • M

    Es muy asertivo en el diagnostico y el tratamiento fue muy efectivo.
    La consulta fue muy positiva, siempre fui bien tratado, siempre me explico a detalle como seguir el tratamiento y respondió mis dudas con paciencia y gentileza. Estoy muy agradecido.

     • Consultorio 2 "Clínica San Alejandro" Visita Ortopedia  • 

  • E

    Muy buen médico. brinda un trato etico y profesional. La calidad de atención es insuperable, tanto del Doctor como de todo su equipo de trabajo.
    Me explico a detalle como sería el procedimiento, respondió mis dudas y se llevo a cabo la intervención.
    Me explico muy bien el tratamiento y estuvo atento dandole seguimiento a mi evolución.
    Recomendado 100%.

     • Consultorio 2 "Clínica San Alejandro" Cirugía de rodilla  • 

  • L

    El Dr. Amando Ramírez Zavala es un excelente ortopedista y traumatólogo. Atendió a la abuelita de mi esposa con mucha paciencia y profesionalismo. Muy recomendable por su trato humano y claridad al explicar.

     • Consultorio 2 "Clínica San Alejandro" Visita Ortopedia  • 

  • A

    Excelente médico, es muy empatico y explica de forma clara. Tambien me explico el tratamiento y le dio seguimiento. Lo recomiendo.

     • Consultorio 2 "Clínica San Alejandro" Visita Ortopedia  • 

Se ha producido un error, inténtalo de nuevo.