Dr. Alexandro Castrellon

Dentista - Odontólogo · Ver más sobre las especializaciones

Ciudad Juarez 1 dirección

No. de cédula: 12888985

2 opiniones
Tiempo de respuesta aproximado:

Experiencia

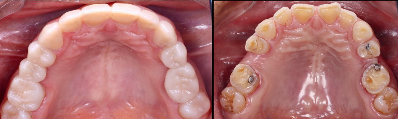
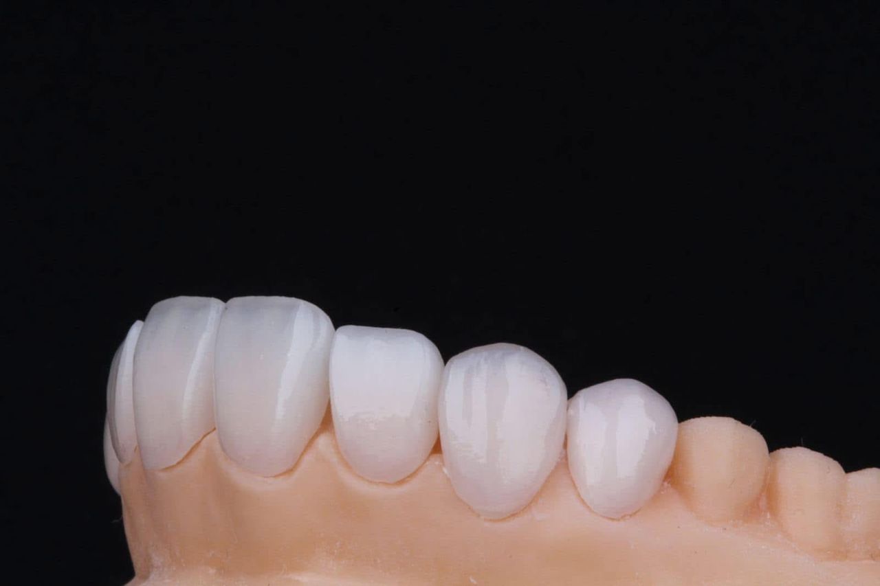
Soy el Dr. Alexandro Castrellón, cirujano dentista con especialidad en prostodoncia . Me dedico a la rehabilitación oral utilizando tecnologías digitales avanzadas como escaneo intraoral, diseño CAD/CAM e impresión 3D, lo que me permite ofrecer tratamientos precisos, funcionales y estéticos.

Mi enfoque está basado en la atención personalizada, la evidencia científica y el uso de materiales de alta calidad.

Cuento con experiencia en rehabilitación sobre implantes, prótesis fijas, removibles y tratamientos integrales para pacientes con desgaste dental severo. Además de mi práctica clínica, imparto cursos sobre odontología digital y materiales dentales a colegas en formación, lo que me mantiene siempre actualizado en las últimas tendencias. Será un gusto ayudarte a recuperar tu salud y confianza al sonreír.

ver más Sobre mí

Enfocado en:

  • Rehabilitación bucal

Pacientes que atiendo

Adultos

Tipos de consulta

Fotos y videos

Logo
Dr. Alexandro Castrellon

Cadetes del 47 719, Dental Soltero, Ciudad Juarez 32600

Chicago Denal Society

01/07/2025

Servicios y precios

  • Visita Odontología


  • Carillas de porcelana

    $7,500

  • Carillas de resina

    $2,800

  • Coronas estéticas

    $7,500

  • Guarda Nocturna por Bruxismo

    $3,500

Consultorio

Ampliar se abre en una nueva pestaña
Dr. Alexandro Castrellon

Cadetes del 47 719, Dental Soltero, Margaritas, Ciudad Juarez 32600

Disponibilidad

Ampliar se abre en una nueva pestaña

No se aceptan aseguradoras

Este especialista sólo acepta pacientes privados. Puede pagar directamente la cita para reservar, o encontrar otro especialista que acepte su aseguradora.

2 opiniones

Todas las opiniones son importantes, por este motivo, los especialistas no pueden pagar para modificar o eliminar opiniones. Saber más. Más información sobre opiniones
  • A

    El doctor hizo un trabajo excelente. El tratamiento fue de lo mejor, tanto la explicación para recibir el mejor de los resultados, como el trabajo que hizo. Muy meticuloso, muy limpió y siempre al pendiente de que todo quedará como debe de ser, tomando todas las medidas necesarias. Muy contento y satisfecho con el trato que tuvo hacia mi como paciente y el resultado del tratamiento.

     • Dr. Alexandro Castrellon Visita Odontología  • 

    Dr. Alexandro Castrellon

    Que bueno escuchar que el tratamiento fue exitoso, gracias por tu visita.


  • L

    servicio profesional y de calidad el trabajo me lo realizo rapido y con una estetica muy buena

     • Dr. Alexandro Castrellon Carillas de resina  • 

    Dr. Alexandro Castrellon

    Muchas gracias por tu comentario, estamos para servirte!


Se ha producido un error, inténtalo de nuevo.

Dudas solucionadas

2 dudas solucionadas a pacientes en Doctoralia

Duda sobre Carillas de porcelana

Me coloque carillas y aun que yo pedí de porcelana el tono mas blanco, al verme me dijeron que eran de resina. Lamentablemente me engañaron y ahora el tono no es el que quería. Yo no sé exactamente que tipo de resina es, pero se ve ligeramente blanca.

Me han dicho que esas carillas de resina se deben pulir para dejar un terminado mejor. Es eso verdad?

Si en carillas de resina desafortunadamente el color llega a ser un tema importante en aspectos estéticos, mas cuando el color de el diente natural es desfavorable o muy opaco.
Estas son buenas en casos específicos pero si requieren su mantenimiento semestral

Dr. Alexandro Castrellon

Duda sobre Extracción de las muelas del juicio

Hola buenas noches tengo 4 días que me sacaron la muela del juicio pero en la siguiente muela tengo una bola en la encía de la muela a qué se debe

Podría deberse a un proceso infeccioso activo, lo mejor seria valorar tu caso y tomar una radiografia

Dr. Alexandro Castrellon

Todos los contenidos publicados en Doctoralia, especialmente preguntas y respuestas, son de carácter informativo y en ningún caso deben considerarse un sustituto de un asesoramiento médico.