Dr. Alejandro Ceja Espinosa

Neurocirujano · Ver más sobre las especializaciones

No. de cédula: 7085501 11490687

50 opiniones
Especialista de confianza

Los pacientes vuelven a su consulta de forma recurrente

Experiencia

Hola, soy el Dr. Alejandro Ceja Espinosa, neurocirujano con alta especialidad en neurocirugía vascular.

Tengo más de 8 años de experiencia en el tratamiento de las enfermedades quirúrgicas del cerebro y de la columna vertebral.

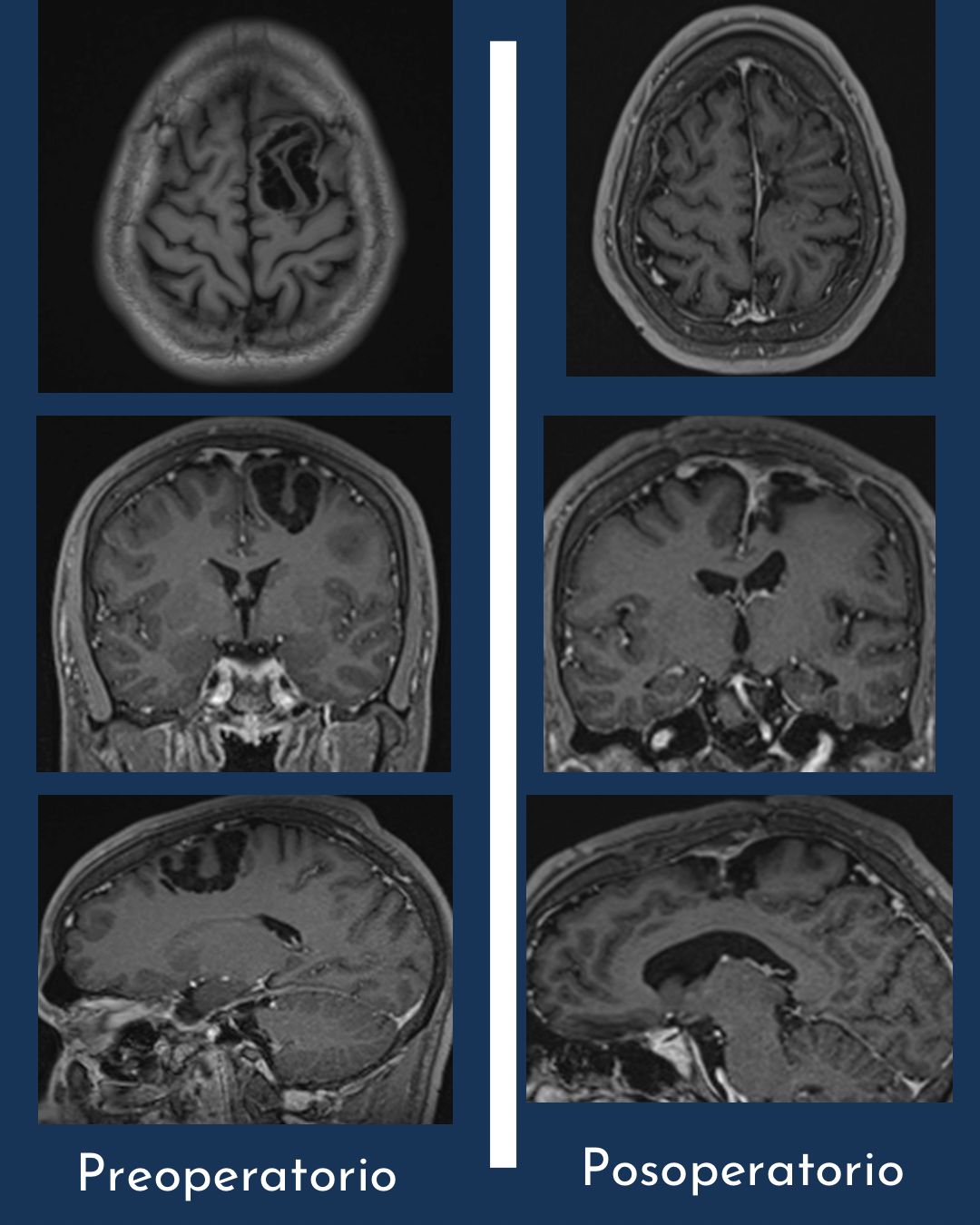
Realizo cirugías de tumores cerebrales, tumores de la hipófisis, aneurismas cerebrales, malformaciones vasculares cerebrales, infartos cerebrales entre otras, y además cirugías de columna vertebral por mínima invasión principalmente por vía endoscópica.

Me encuentro en continuo aprendizaje de las nuevas técnicas quirúrgicas para ofrecer la mayor calidad y alta tecnología a mis pacientes. 

ver más Sobre mí

Enfocado en:

  • Microcirugía
  • Cirugía mínima invasiva de columna
  • Cirugía de tumores cerebrales

Pacientes que atiendo

Adultos
Niños

Tipos de consulta

Fotos y videos

Servicios y precios

  • Consulta neurocirugía primera vez

    Desde $1,000

Consultorio

Ampliar se abre en una nueva pestaña
Star Médica Morelia

Calle Virrey de Mendoza 1998, Consultorio 003 planta baja, Félix Ireta, Morelia 58070

Disponibilidad

Ampliar se abre en una nueva pestaña
Reserva por teléfono 24/7

Aseguradoras aceptadas

Se aceptan aseguradoras, pero la cobertura varía según la ubicación y el servicio.

50 opiniones

Todas las opiniones son importantes, por este motivo, los especialistas no pueden pagar para modificar o eliminar opiniones. Saber más. Más información sobre opiniones
  • J

    Muy buen doctor. Atento, amable y me explicó muy bien

     • Star Médica Morelia Consulta neurocirugía primera vez  • 

  • C

    Excelente especialista, muy profesional en todo sentido

     • Star Médica Morelia Otro  • 

  • C

    Agendamos cita a las 5pm paso una hora y el doctor no pudo atendernos ya que el comparte consultorio, los dos agendaron cita a la misma hora y nunca se apareció el doctor y su asistente no sabía nada, se.salio un buen rato, no se para que esta ahí. La verdad no se para que esta la aplicacion sino se toman la molestia en avisar que se recorre la cita o se cancela. La verdad si fue molesto

     • Star Médica Morelia  • 

    Dr. Alejandro Ceja Espinosa

    Le ofrezco una sincera disculpa por no haber podido asistir en el horario acordado. Lamentablemente, surgió un imprevisto con la aplicación.
    Valoro mucho su tiempo y entiendo los inconvenientes que esto pueda haber ocasionado.
    Trabajaremos en ello para que esta situación nunca vuelva a ocurrir, le agradezco sus comentarios y los tomaremos en cuenta para seguir mejorando.


  • R

    Es un excelente especialista que explica a detalle y responde todas las dudas, dando tranquilidad al paciente. Lo recomiendo.

     • Star Médica Morelia Consulta neurocirugía primera vez  • 

  • S

    Quiero expresar mi profundo agradecimiento al Dr. Alejandro Ceja. Desde la primera consulta, me impresionó su capacidad para explicar diagnósticos complejos de una manera clara y comprensible. Su trato es sumamente humano, brindando una tranquilidad que es vital cuando se trata de un tema neurológico. Es un profesional que realmente se toma el tiempo de escuchar y cuidar a sus pacientes. Lo recomiendo ampliamente

     • Star Médica Morelia  • 

  • R

    Revisión y explicacion completa que me dio confisnza

     • Star Médica Morelia  • 

  • J

    Muy amable el doctor, nos dio el tiempo necesario para preguntar todas nuestras dudas

     • Star Médica Morelia Consulta neurocirugía primera vez  • 

  • V

    Explicación detallada y entendible para el paciente, empatico, revisión profesional. Excelente médico.

     • Star Médica Morelia Consulta neurocirugía primera vez  • 

  • D

    La atención en general es buena, posiblemente por la hora la cita fue un poco corta. La explicación buena en general, aunque me hubiera gustado que analizará la totalidad de los estudios que le llevamos. Buen doctor en lo general esperemos que siga así y mejorando.

     • Star Médica Morelia Consulta neurocirugía primera vez  • 

  • M

    Excelente Dr preciso y muy amable puntual, recomendable

     • Star Médica Morelia  • 

Se ha producido un error, inténtalo de nuevo.