La sonrisa sana del paciente es prioridad por lo cual siempre me dirijo de una manera honesta y más clara posible acerca de sus preguntas y tratamientos, despejando cualquier duda incluso ansiedad que pueda causar el tratamiento dental al paciente.
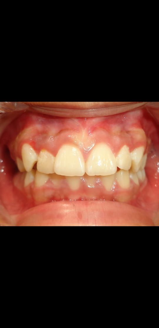
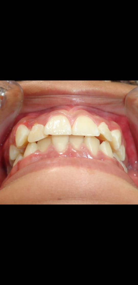
Diagnóstico temprano de mordida patológica para la colocación de ortodoncia correctiva
Prevención y corrección de afecciones en la gingivitis y periodontitis
Tratamiento oportuno de caries y destruccion dental
Tratamientos de emergencia pre endodontica
Restauración de piezas dentales fracturadas
Tratamiento correctivo de manchas dentales por fluorosis
Colocacion de carillas dentales para la corrección de color y posición
Tratamientos preventivos corrección general en niños
Uso de terapia homeopática para ansiedad preoperatoria, control de sangrado en procedimientos quirúrgicos, dolor postoperatorio y aparatologia ortodontica, regeneración osea para orrodoncia
Realización de Blanqueamientos dentales en una sola cita
Avenida Circunvalación División del Norte 29, Guadalajara 44379
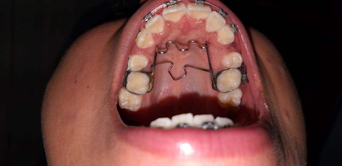
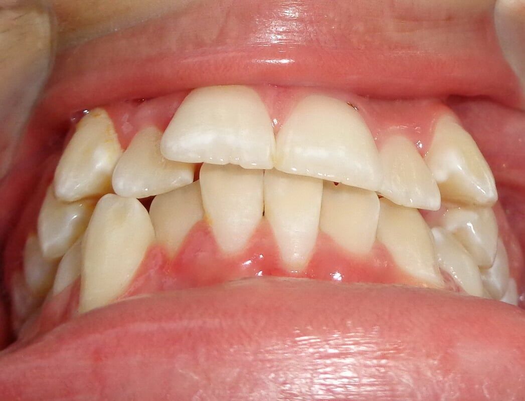
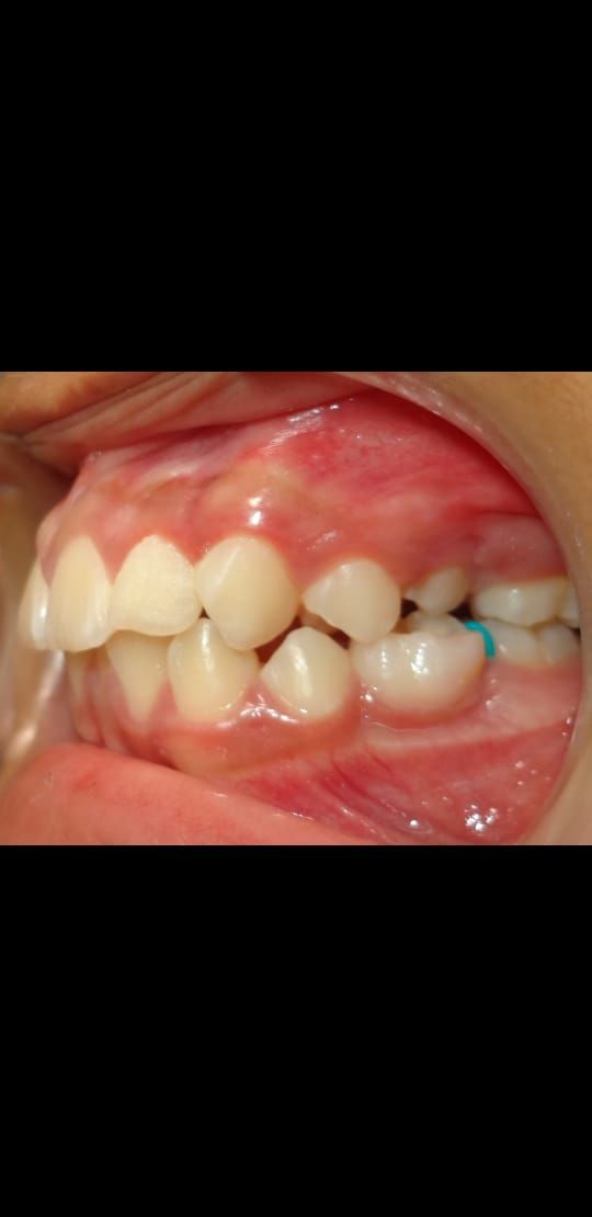
A a 4 meses de tratamiento, brackets de Zafiro, se ha avanzado en la alineacion del apiñamiento dental, brackets estéticos con mecánicas de primera!!! Vamos excelente! Pregunta por este tratamiento!
Avenida Circunvalación División del Norte 29, Guadalajara 44379
A a 4 meses de tratamiento, brackets de Zafiro, se ha avanzado en la alineacion del apiñamiento dental, brackets estéticos con mecánicas de primera!!! Vamos excelente! Pregunta por este tratamiento!
02/04/2025
Dra. Aida Alejandra Ramirez Leyva
Promociones vigentes 2025
04/02/2025
Servicios y precios
Consulta en línea
$300
Guardas gnatológicas
$650
Reconstrucción dental
$400
Profilaxis (Limpieza Dental)
$400
Primera consulta dental
$400
Prevención en salud bucal
$400
Ortodoncia convencional subsecuente
$400
Ortodoncia convencional
$4,000
Exodoncia
$550
Primera visita Odontología
$300
Diseño de sonrisa
$400
Coronas estéticas
$3,800
Carillas de porcelana
$1,500
Brackets de cerámica
$9,500
Blanqueamiento dental
$2,500
Visitas sucesivas Odontología
Desde $400
Visita Odontología
$400
Resinas dentales
$400
Los centros o especialistas son responsables de los precios y la información relacionada con ellos. Doctoralia no influye en los precios y no es responsable de establecerlos.
Los precios son para pacientes sin aseguradora
Llama a cualquier hora, incluso fuera de horario de atención. Sin esperas
Dirección
Cómo conectar con el especialista
Al menos 30 minutos antes de la visita, recibirás un SMS y un email con el enlace para iniciar la consulta online. Podrás acceder directamente desde tu móvil o tu ordenador.
Cómo prepararse para la consulta en línea
Prepárate 10 minutos antes de la consulta y comprueba que tu celular o computadora tengan la batería cargada.
Para una videollamada asegúrate que todo funciona: conexión a Internet, cámara y micrófono.
También puedes preparar la documentación médica (como algún test o resultado) que necesites enseñar durante la consulta.
El pago de la consulta va directamente a tu especialista, que se encarga de determinar también la política de reembolso y cancelación.
Si tienes algún problema con el pago contacta con tu especialista, por favor.
Recuerda: Doctoralia no te agregará ningún importe adicional por tu consulta, ya que tu pago se ingresará directamente en la cuenta de tu especialista.
Cancelaciones y devoluciones
Buscar servicios relacionados
Consulta en línea
• $300
Primera visita Odontología
• $300
Visitas sucesivas Odontología
• $400
Servicios
Consullta en linea-Alejandra Leyva -Estudio dental-
Este especialista sólo acepta pacientes privados. Puede pagar directamente la cita para reservar, o encontrar otro especialista que acepte su aseguradora.
Todas las opiniones son importantes, por este motivo, los especialistas no pueden pagar para modificar o eliminar opiniones.
Saber más.Más información sobre opiniones
J
Juan
Tipos de verificación
Verificamos la autenticidad de todas las opiniones para asegurar que todas proceden de pacientes que se han visitado con el especialista/clínica. Por ello, hemos introducido 3 niveles extra de verificación, además de los que ya teníamos:
Número de teléfono verificado
Pacientes que verificaron su número de teléfono a través de un código enviado por SMS.
Cita verificada
Pacientes que reservaron su cita con este/a especialista y confirmaron su número de teléfono a través de un código enviado por SMS.
Pago y cita verificados
Pacientes que reservaron su cita y realizaron el pago a través de Doctoralia. El número de teléfono del paciente se verificó con un código enviado por SMS. La credibilidad de esta opinión es muy alta.
Es una Doctora que recomiendo ampliamente por su explicación en todo momento.
Verificamos la autenticidad de todas las opiniones para asegurar que todas proceden de pacientes que se han visitado con el especialista/clínica. Por ello, hemos introducido 3 niveles extra de verificación, además de los que ya teníamos:
Número de teléfono verificado
Pacientes que verificaron su número de teléfono a través de un código enviado por SMS.
Cita verificada
Pacientes que reservaron su cita con este/a especialista y confirmaron su número de teléfono a través de un código enviado por SMS.
Pago y cita verificados
Pacientes que reservaron su cita y realizaron el pago a través de Doctoralia. El número de teléfono del paciente se verificó con un código enviado por SMS. La credibilidad de esta opinión es muy alta.
Explica todo a detalle, nos sentimos en confianza. Muy profesional.
Verificamos la autenticidad de todas las opiniones para asegurar que todas proceden de pacientes que se han visitado con el especialista/clínica. Por ello, hemos introducido 3 niveles extra de verificación, además de los que ya teníamos:
Número de teléfono verificado
Pacientes que verificaron su número de teléfono a través de un código enviado por SMS.
Cita verificada
Pacientes que reservaron su cita con este/a especialista y confirmaron su número de teléfono a través de un código enviado por SMS.
Pago y cita verificados
Pacientes que reservaron su cita y realizaron el pago a través de Doctoralia. El número de teléfono del paciente se verificó con un código enviado por SMS. La credibilidad de esta opinión es muy alta.
Excelente dra, amable y empatica. Trabaja super bien.
Verificamos la autenticidad de todas las opiniones para asegurar que todas proceden de pacientes que se han visitado con el especialista/clínica. Por ello, hemos introducido 3 niveles extra de verificación, además de los que ya teníamos:
Número de teléfono verificado
Pacientes que verificaron su número de teléfono a través de un código enviado por SMS.
Cita verificada
Pacientes que reservaron su cita con este/a especialista y confirmaron su número de teléfono a través de un código enviado por SMS.
Pago y cita verificados
Pacientes que reservaron su cita y realizaron el pago a través de Doctoralia. El número de teléfono del paciente se verificó con un código enviado por SMS. La credibilidad de esta opinión es muy alta.
Las consultas con la Dra. son muy cómodas, ya que te hace sentir en confianza todo el tiempo
Verificamos la autenticidad de todas las opiniones para asegurar que todas proceden de pacientes que se han visitado con el especialista/clínica. Por ello, hemos introducido 3 niveles extra de verificación, además de los que ya teníamos:
Número de teléfono verificado
Pacientes que verificaron su número de teléfono a través de un código enviado por SMS.
Cita verificada
Pacientes que reservaron su cita con este/a especialista y confirmaron su número de teléfono a través de un código enviado por SMS.
Pago y cita verificados
Pacientes que reservaron su cita y realizaron el pago a través de Doctoralia. El número de teléfono del paciente se verificó con un código enviado por SMS. La credibilidad de esta opinión es muy alta.
Excelente servicio, muy amable la doctora y te aclara tus dudas
Verificamos la autenticidad de todas las opiniones para asegurar que todas proceden de pacientes que se han visitado con el especialista/clínica. Por ello, hemos introducido 3 niveles extra de verificación, además de los que ya teníamos:
Número de teléfono verificado
Pacientes que verificaron su número de teléfono a través de un código enviado por SMS.
Cita verificada
Pacientes que reservaron su cita con este/a especialista y confirmaron su número de teléfono a través de un código enviado por SMS.
Pago y cita verificados
Pacientes que reservaron su cita y realizaron el pago a través de Doctoralia. El número de teléfono del paciente se verificó con un código enviado por SMS. La credibilidad de esta opinión es muy alta.
Siempre amable y detallista….
Su trabajo excelente, siempre tiene promociones
Verificamos la autenticidad de todas las opiniones para asegurar que todas proceden de pacientes que se han visitado con el especialista/clínica. Por ello, hemos introducido 3 niveles extra de verificación, además de los que ya teníamos:
Número de teléfono verificado
Pacientes que verificaron su número de teléfono a través de un código enviado por SMS.
Cita verificada
Pacientes que reservaron su cita con este/a especialista y confirmaron su número de teléfono a través de un código enviado por SMS.
Pago y cita verificados
Pacientes que reservaron su cita y realizaron el pago a través de Doctoralia. El número de teléfono del paciente se verificó con un código enviado por SMS. La credibilidad de esta opinión es muy alta.
Buena experiencia. Muy recomendado, excelente tratamiento y trato
Verificamos la autenticidad de todas las opiniones para asegurar que todas proceden de pacientes que se han visitado con el especialista/clínica. Por ello, hemos introducido 3 niveles extra de verificación, además de los que ya teníamos:
Número de teléfono verificado
Pacientes que verificaron su número de teléfono a través de un código enviado por SMS.
Cita verificada
Pacientes que reservaron su cita con este/a especialista y confirmaron su número de teléfono a través de un código enviado por SMS.
Pago y cita verificados
Pacientes que reservaron su cita y realizaron el pago a través de Doctoralia. El número de teléfono del paciente se verificó con un código enviado por SMS. La credibilidad de esta opinión es muy alta.
Excelente trato, totalmente profesional, he tenido muy buenos resultados en mis procedimientos. Ampliamente recomendada
Verificamos la autenticidad de todas las opiniones para asegurar que todas proceden de pacientes que se han visitado con el especialista/clínica. Por ello, hemos introducido 3 niveles extra de verificación, además de los que ya teníamos:
Número de teléfono verificado
Pacientes que verificaron su número de teléfono a través de un código enviado por SMS.
Cita verificada
Pacientes que reservaron su cita con este/a especialista y confirmaron su número de teléfono a través de un código enviado por SMS.
Pago y cita verificados
Pacientes que reservaron su cita y realizaron el pago a través de Doctoralia. El número de teléfono del paciente se verificó con un código enviado por SMS. La credibilidad de esta opinión es muy alta.
Me sentí muy tranquila y en confianza con el servicio de la doctora
Verificamos la autenticidad de todas las opiniones para asegurar que todas proceden de pacientes que se han visitado con el especialista/clínica. Por ello, hemos introducido 3 niveles extra de verificación, además de los que ya teníamos:
Número de teléfono verificado
Pacientes que verificaron su número de teléfono a través de un código enviado por SMS.
Cita verificada
Pacientes que reservaron su cita con este/a especialista y confirmaron su número de teléfono a través de un código enviado por SMS.
Pago y cita verificados
Pacientes que reservaron su cita y realizaron el pago a través de Doctoralia. El número de teléfono del paciente se verificó con un código enviado por SMS. La credibilidad de esta opinión es muy alta.
Buenas Doctora dental, tiene mucha experiencia profesional.
Buen día, tengo una inquietud y es que llevo ya 7 meses de ortodoncia pero veo que se me han torcido dos dientes de abajo y no entiendo porque, es más que todo corregir mordida pero a pesar de usar ligas siguen igual y la mordida no se ha cerrado del todo. Dicho esto es necesario retirar cordales? Porque mi ortodoncista dijo que no
Hola yo recomendaria que SI las terceras molares pueden ejercer mucha fuerza y obtruir el trabajo de la Ortodoncia. Vuelve a preguntar a tu ortodoncista y que sea mas detallado en el porque no.
Hola,si tengo parestesia dental por extracción que me puede ayudar a calmarlo? Pues como poner hielo o palos de agua caliente? Llevo aproximadamente 10 días con ella y aún no he podido tener cita con mi odontólogo, igual pues se me ha quitado bastante ya pero igual como en momentos la siento más
Hola hay ocasiones en las que se llega a tocar algun nervio con la instrumentacion es algo comun , continua con las indicaciones de cuidados y medication que te indicaron y puedes agregar complejo B una capsula o tableta diaria con las comidas durante un mes o 3 inyecciones en total cada 3er dia.
Todos los contenidos publicados en Doctoralia, especialmente preguntas y respuestas, son de carácter informativo y en ningún caso deben considerarse un sustituto de un asesoramiento médico.
Ya ha iniciado sesión con una cuenta. Por favor, cierre la sesión para poder continuar.
Consullta en linea-Alejandra Leyva -Estudio dental-
Los precios de algunos servicios pueden variar según el caso. Le recomiendo que agende su cita ahora y justo después, me envíe un mensaje para consultar el precio del servicio. Será un placer atenderle.
Los precios de algunos servicios pueden variar según el caso. Le recomiendo que agende su cita ahora y justo después, me envíe un mensaje para consultar el precio del servicio. Será un placer atenderle.
La información profesional de este perfil ha sido revisada y validada por Doctoralia utilizando fuentes públicas o documentación proporcionada.
El número de registro profesional garantiza tu seguridad. Los profesionales de la salud deben contar con un cédula profesional para sus especialidades. Si no encuentras el registro del profesional, puedes consultarlo aquí: cedulaprofesional.sep.gob.mx
Es necesario realizar el pago de tu cita
Tu especialista solicita que realices el pago de la visita que tienes pendiente. Para modificarla, por favor, realiza el pago por adelantado o contacta directamente con tu especialista.