Dra. Adriana Alejandra Rodriguez Carrillo

Dentista - Odontólogo · Ver más sobre las especializaciones

Guadalajara 2 direcciones

No. de cédula: 1672915 6249352 3509870

11 opiniones
Tiempo de respuesta aproximado:

Experiencia

Soy Dra. Adriana Alejandra Rodríguez Carrillo, dentista - odontóloga de Guadalajara. Me gradué en la Universidad Autónoma de Guadalajara con el título de Médico Cirujano Dentista y posteriormente obtuve el título de Ortodoncia - Pediatría - Ortopedia Maxilar en el Centro de Estudios de Postgrado en Odontología.
Además, soy miembro de la Academia Mexicana de Ortodoncia para la Investigación con el Titulo de Ortodoncia Correctiva. Obtuve un Diplomado COECIO en Implantología con Rehabilitación Dental en Pac. dentados y desdentados, especializándome en el tratamiento dental para adultos y niños de cualquier edad, incluyendo la prevención y tratamiento de caries, dolor dental, prótesis fija y removible así como Placas dentales con implantes, Dolores articulares y Bruxismo.

Mi objetivo es brindar atención dental de calidad, con un enfoque personalizado para cada paciente. Me aseguro de mantenerme actualizada en las últimos avances y tecnologías de la odontología para garantizar la mejor atención posible y con alianzas con Médicos Especialistas que nos apoyan y así brindarles para la mejor atención con más de 30 años experiencia.
Estoy comprometida con la salud dental de mis pacientes y me enorgullece ver los resultados positivos de mi trabajo.

Si buscas un dentista confiable y profesional, no dudes en programar una cita conmigo.
ver más Sobre mí

Enfocado en:

  • Ortodoncia
  • Odontopediatría
  • Rehabilitación bucal
  • Implantología dental

Pacientes que atiendo

Adultos
Niños

Tipos de consulta

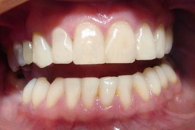
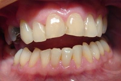
Fotos y videos

Logo
Dra. Adriana Alejandra Rodriguez Carrillo

Av Cruz del Sur 3092, Guadalajara 44540

Aprovecha las facilidades de pagos para tu tratamiento!
pregunta por ellas

21/10/2024

Servicios y precios

  • Visita Odontología

    Desde $300

  • Amalgama (por Diente)

    Desde $800

  • Resina

    Desde $500

  • Primera consulta dental

    Desde $400

  • Profilaxis (Limpieza Dental)

    Desde $600

Consultorios (2)

Ampliar se abre en una nueva pestaña
UNIDAD DE ODONTOLOGIA FAMILIAR

Av Cruz del Sur 3092, Bosques De La Victoria, Guadalajara 44540

Disponibilidad

Número de teléfono

33 3623...
33 3623...
Ampliar se abre en una nueva pestaña
Ampliar se abre en una nueva pestaña
ConsultARE

Calle Francisco Rojas González 137, Ladron De Guevara, Guadalajara 44600

Disponibilidad

Este especialista no ofrece reserva online en esta dirección

Número de teléfono

33 3630...
33 3616...
Ampliar se abre en una nueva pestaña

No se aceptan aseguradoras

Este especialista sólo acepta pacientes privados. Puede pagar directamente la cita para reservar, o encontrar otro especialista que acepte su aseguradora.

11 opiniones

Todas las opiniones son importantes, por este motivo, los especialistas no pueden pagar para modificar o eliminar opiniones. Saber más. Más información sobre opiniones
  • L

    La titular de la cita no estaba pero
    Nos atendió otra dentista muy amable

     • UNIDAD DE ODONTOLOGIA FAMILIAR Profilaxis (Limpieza Dental)  • 

  • G

    Muy buena atención estoy muy conforme. Muchas gracias

     • UNIDAD DE ODONTOLOGIA FAMILIAR Visita Odontología  • 

  • L

    Con más de 20 años de experiencia, esta dentista fue compasiva y minuciosa. Fui pensando que solo tenía un diente astillado, pero ella descubrió un problema más grave y me lo explicó todo con claridad. En lugar de apresurarse a darme una solución rápida, me puso un empaste temporal y me presentó un plan a largo plazo para realizarme una endodoncia. Aunque vivo lejos, ella tiene dos consultorios, lo que me facilita continuar el tratamiento con ella. ¡La recomiendo mucho!

     • UNIDAD DE ODONTOLOGIA FAMILIAR Primera consulta dental  • 

  • B

    Buena atención en el tratamiento y me atendió justo a la hora de mi cita

     • UNIDAD DE ODONTOLOGIA FAMILIAR Visita Odontología  • 

  • L

    Siempre muy profesionales las instalaciones muy limpias

     • UNIDAD DE ODONTOLOGIA FAMILIAR Visita Odontología  • 

  • K

    Todo súper bien !! Gracias !! Excelente atención !!

     • UNIDAD DE ODONTOLOGIA FAMILIAR Visita Odontología  • 

    Dra. Adriana Alejandra Rodriguez Carrillo

    Gracias siempre es un gusto atenderlos!!!


  • R

    Excelente servicio y siempre puntuales. El tratamiento ha sido bueno porque combina métodos

     • UNIDAD DE ODONTOLOGIA FAMILIAR Visita Odontología  • 

    Dra. Adriana Alejandra Rodriguez Carrillo

    Muchas Gracias :) :)


  • D

    Excelente atención , puntualidad , amabilidad , muy satisfecha con el servicio recibido

     • UNIDAD DE ODONTOLOGIA FAMILIAR Amalgama (por Diente)  • 

    Dra. Adriana Alejandra Rodriguez Carrillo

    Muchas gracias Saludos
    Amo mi profesión :)


  • L

    Todo muy bien, excelente doctora. ¡Recomendadisima!

     • UNIDAD DE ODONTOLOGIA FAMILIAR Corona de porcelana  • 

    Dra. Adriana Alejandra Rodriguez Carrillo

    Muchas gracias Lauris!
    Siempre es un gusto Atender a ti y tu hermosa Familia!


  • A

    Llevo años atendiendome aqui y siempre he quedado satisfecho

     • UNIDAD DE ODONTOLOGIA FAMILIAR Visita Odontología  • 

    Dra. Adriana Alejandra Rodriguez Carrillo

    Muchas gracias por su confianza!
    saludos


Se ha producido un error, inténtalo de nuevo.

Dudas solucionadas

6 dudas solucionadas a pacientes en Doctoralia

Duda sobre Dolor de muelas

Hola buenas tardes. Mi odontologo me mando a hacer un puente molar y se quebró al 3er día me puso resina y se quebró la resina a las horas, después fui al siguiente día y me puso resina sin dejar espacio en medio de mis 2 muelas para que no se acumulará comida etc. Hizo limpieza y relleno por completo el espacio entre las 2.
Es sano y recomendable que este unidas 2 muelas completamente con resina.
Existe algún riesgo a corto o largo plazo?

Buendía Normalmente no suelen fracturarse las prótesis de porcelana.
Por lo regular todos los odontólogos damos una garantía de 6 meses, lo mas sencillo es volver a tomar impresión y repetir el puente fijo.
Acude a tu odontólogo para que te de tu garantía.
saludos

Dra. Adriana Alejandra Rodriguez Carrillo

Duda sobre Pérdida de dientes

Que debo hacer con una sutura qué en la cita de control no me quitaron?. Me extrajeron una cordal inferior, y fui a la cita para que me revisara y de paso para que me retirara las suturas, pero un día después me di cuenta que había una hilo todavía en mi boca, la doctora no me dijo nada sobre esto, yo pensé que me había quitado todo. Qué debo hacer?

Buen día, Muchas veces por a inflamación que tienes no se alcanzan a observar todos los puntos, No te preocupes acude a tu Odontólogo para que lo retire.
Saludos

Dra. Adriana Alejandra Rodriguez Carrillo
Muestra todas las respuestas

Todos los contenidos publicados en Doctoralia, especialmente preguntas y respuestas, son de carácter informativo y en ningún caso deben considerarse un sustituto de un asesoramiento médico.