Dra. Jessica Vázquez Sánchez

Ortodoncista · Ver más sobre las especializaciones

Ciudad de México 1 dirección

No. de cédula: 11537122 12071078

Tiempo de respuesta aproximado:

Experiencia

Dra. Jessica Vázquez Sánchez

Enfocado en:

  • Ortopedia maxilofacial

Tipos de consulta

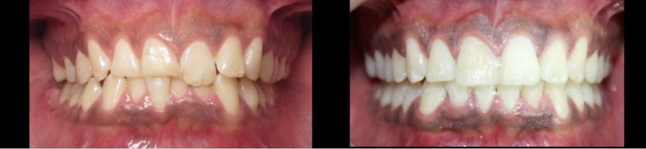
Fotos y videos

Servicios y precios

  • Ortodoncia

    $400 - $2,500

  • Consulta con especialista

    $1,000

Consultorio

Ampliar se abre en una nueva pestaña
Dntia Clínica Dental

Pedro Romero de Terreros 928 local 2, Colonia Del Valle Centro, Ciudad de México 03020

Disponibilidad

Número de teléfono

55 1381...
55 9489...
Ampliar se abre en una nueva pestaña

No se aceptan aseguradoras

Este especialista sólo acepta pacientes privados. Puede pagar directamente la cita para reservar, o encontrar otro especialista que acepte su aseguradora.

Pronto se publicarán opiniones

Escribe la primera opinión

¿Te has visitado con Dra. Jessica Vázquez Sánchez? Comparte cómo fue tu experiencia. Cientos de pacientes te lo agradecerán.

Agregar tu opinión